
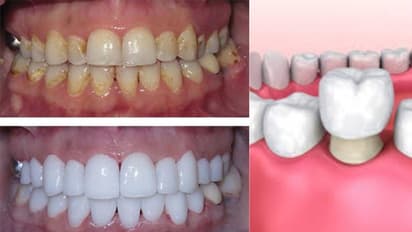
പല്ലിന് മഞ്ഞ നിറമാണോ? പല്ല് പൊട്ടിയോ? ക്യാപ്പ് ഇടേണ്ടി വരുമോ? പല്ലിന്റെ മുകളിൽ കൃത്രിമമായി പിടിപ്പിക്കുന്ന മകുടം അഥവാ ക്രൗൺ സാധാരണക്കാരുടെ ഇടയിൽ ക്യാപ്പ് എന്ന പേരിലാണ് അറിയപ്പെടുന്നത്. പല കാരണങ്ങൾ കൊണ്ട് പല്ലുകളെ ക്യാപ്പ് ചെയ്യാറുണ്ട്. നിറം മാറിയത്, തേഞ്ഞു പോയത്, പൊട്ടിയത്, തുടങ്ങി പല്ലിന്റെ പലവിധ കേടുപാടുകൾ തീർക്കാൻ ക്രൗൺ ചെയ്യാം. വെപ്പു പല്ലുകൾ ഘടിപ്പിക്കാനും , റൂട്ട് കനാൽ ചെയ്തതിനു ശേഷവും ക്രൗണുകൾ വേണ്ടി വരും. ഇംപ്ലാന്റുകളുടെ മുകളിലും ക്രൗണുകൾ ഘടിപ്പിക്കണം.
ക്യാപ്പിനെ കുറിച്ച് പല സംശയങ്ങളും ആളുകള്ക്കുണ്ട്. എന്റെ പല്ലിന് ക്യാപ്പിന്റെ ആവശ്യമുണ്ടോ? ക്രൗൺ പല്ലിൽ ഘടിപ്പിച്ച് ചിരിച്ചാൽ ആളുകൾക്ക് വെപ്പു പല്ലാണെന്ന് തോന്നുമോ? തുടങ്ങിയ ചോദ്യങ്ങള്ക്കെല്ലാം ഉത്തരം നല്കുകയാണ് ദന്ത ഡോക്ടറായ സ്മിതാ റഹ്മാന്.
വിഷയത്തെ കുറിച്ച് ഡോ. സ്മിത പറയുന്നത് നോക്കാം...
1. എന്റെ പല്ലിന് ക്യാപ്പിന്റെ ആവശ്യമുണ്ടോ?
പല കാരണങ്ങൾ കൊണ്ട് പല്ലുകളെ ക്യാപ്പ് ചെയ്യാറുണ്ട്. നിറം മാറിയത്, തേഞ്ഞു പോയത്, പൊട്ടിയത്, തുടങ്ങി പല്ലിന്റെ പലവിധ കേടുപാടുകൾ തീർക്കാൻ ക്രൗൺ ചെയ്യാം. വെപ്പു പല്ലുകൾ ഘടിപ്പിക്കാനും (bridge) , റൂട്ട് കനാൽ ചെയ്തതിനു ശേഷവും ക്രൗണുകൾ വേണ്ടി വരും. ഇംപ്ലാന്റുകളുടെ മുകളിലും ക്രൗണുകൾ ഘടിപ്പിക്കണം.
2. ക്രൗൺ പല്ലിൽ ഘടിപ്പിച്ച് ചിരിച്ചാൽ ആളുകൾക്ക് വെപ്പു പല്ലാണെന്ന് തോന്നുമോ?
ഒരിക്കലുമില്ല. ഒറിജിനലിനെ വെല്ലുന്ന ക്രൗണുകൾ ഇപ്പോൾ ലഭ്യമാണ്. നിങ്ങളുടെ മറ്റു പല്ലുകളുടെ നിറം ഏതു തന്നെയായാലും അതിലേക്ക് പുതിയ വരുന്ന ക്രൗണുകൾ ചേർന്നു വരും. ഒരു പല്ലു വച്ചാലും, ഇടയിൽ ഓരോന്ന് വച്ചാലും, ഒരു വരി മുഴുവൻ വച്ചാലും ഒരൊറ്റ മനുഷ്യൻ തിരിച്ചറിയാത്ത പല്ലുകൾ ഘടപ്പിക്കാൻ സാധിക്കും. ഡെന്റിസ്റ്റ് നിങ്ങളുമായി ചർച്ച ചെയ്ത് പ്രായം, തൊലി, മുടി, കണ്ണ്, മറ്റു പല്ലുകൾ എന്നിവയുടെ നിറം, എല്ലാം കണക്കിലെടുത്താണ് ക്രൗണിന്റെ നിറം നിശ്ചയിക്കുന്നത്.
3. ക്രൗൺ ഘടിപ്പിക്കാൻ എത്ര തവണ വരണം?
സാധാരണ ഗതിയിൽ രണ്ടു തവണ. അളവെടുക്കുക എന്ന് അറിയപ്പെടുന്ന പല്ലുകളെ രൂപാന്തരപ്പെടുത്തി താത്കാലിക ക്രൗൺ ഇട്ടു വിടുന്ന പരിപാടി ഒരു തവണ. ഫിറ്റ് ചെയ്യുക എന്ന് പറയപ്പെടുന്ന ക്രൗൺ പിടിപ്പിക്കുന്ന പരിപാടി ഒരു തവണ. ക്രൗൺ ചെയ്യാൻ ഒരുപാട് തവണ ക്ലിനിക്കിൽ വരേണ്ട ആവശ്യമില്ല. ചുരുങ്ങിയ ദിവസങ്ങൾക്കുള്ളിൽ നടത്താവുന്ന മെയ്ക്കോവർ ആണ് ക്രൗൺ.
4. വേദനയുണ്ടാകുമോ?
ഇല്ല. റൂട്ട് കനാൽ ചെയ്യാത്ത പല്ലുകൾ ക്രൗണുകൾക്ക് വേണ്ടി തയ്യാറാക്കുന്നത് മരവിപ്പിച്ച ശേഷമാണ്. പുളിപ്പ് പോലുള്ള അസ്വസ്ഥതകൾ ഉണ്ടായേക്കാവുന്നതാണ്. വ്യക്തിപരമായ ചെറു അസ്വസ്ഥതകൾ ചെയ്യുന്ന സമയത്ത് ഡെന്റിസ്റ്റിനോട് സംസാരിച്ചു തീർക്കണം.
5. എന്തുകൊണ്ടാണ് ഇവയുണ്ടാക്കുന്നത്? ഇവയ്ക്ക് വായിൽ എന്തെങ്കിലും റിയാക്ഷൺ?
മനുഷ്യ ശരീരത്തിൽ യാതൊരു പ്രശ്നങ്ങളും സൃഷ്ടിക്കാത്ത ബയോകോമ്പാറ്റബിൾ മിശ്രിതങ്ങൾ ഉപയോഗിച്ചാണ് ക്രൗൺ ഉണ്ടാക്കുന്നത്. അവയിൽ പലതരം മിശ്ര ലോഹങ്ങൾ, സിറാമിക്കുകൾ, പോർസലൈൻ എന്നിവ ഉൾപ്പെടുന്നു. നിങ്ങൾക്ക് അനുയോജ്യമായത് ഡെന്റിസ്റ്റുമായി സംസാരിച്ച് തീരുമാനിക്കുക.
6. ഗ്യാരണ്ടി ഉണ്ടോ?
ഒറ്റവാക്കിൽ പറഞ്ഞാൽ "ഇല്ല". നമ്മുടെ ശരീരത്തിനു ഗ്യാരണ്ടി ഇല്ലാത്തിടത്തോളം അതിൽ ഘടിപ്പിച്ച ഒന്നിനും ഗ്യാരണ്ടി പറയുക അസാധ്യം. എങ്കിലും നന്നായി പരിപാലിക്കുന്ന വ്യക്തിയ്ക്ക് പതിറ്റാണ്ടുകൾ ക്യുപ്പുകൾ ഉപയോഗാകാം. അമിതമായി പല്ലുകൾ കൂട്ടിയുരുമ്മി കടിക്കുന്നവർ അതിന്റെ ആഘാതം കുറയ്ക്കാൻ ബൈറ്റ് ഗാർഡുകൾ ഉപയോഗിക്കാം. ക്രൗണിന്റെ ഉള്ളിലിരിക്കുന്ന പല്ലിന് അണുബാധ ഒഴിവാക്കാൻ കൃത്യമായ പരിപാലനം ആവശ്യമാണ്.ഫ്ലൂറെഡുള്ള ടൂത്ത് പേസ്റ്റു കൊണ്ടുള്ള ശരിയായ പല്ലു തേപ്പ്, ഫ്ലോസ്സിംഗ്, ഡെന്റൽ ചെക്കപ്പ് എന്നിവയുണ്ടെങ്കിൽ ക്രൗണുകളുടെ ആയുസ് വർദ്ധിക്കും.
7. ക്രൗണുകളിൽ ദന്തക്ഷയം ഉണ്ടാകുമോ?
ദന്തക്ഷയം ക്രൗണിൽ അല്ല, അത് ഘടിപ്പിച്ച പല്ലിൽ ആണ് ഉണ്ടാകുക. അങ്ങനെ വന്നാൽ ക്രൗണുകൾ ഒടിയുകയോ ഇളകുകയോ ചെയ്യും. അതു പോലെ മോണരോഗം വന്നാലും ക്രൗണുകൾ ഇളകും. കൃത്യമായി ഡെന്റൽ ചെക്കപ്പും ക്ലീനിംഗും ചെയ്താൽ ഇതൊക്കെ കണ്ടും പിടിക്കാനും ചികിത്സിക്കാനും ഒഴിവാക്കാനും കഴിയും.
ഏഷ്യാനെറ്റ് ന്യൂസ് മലയാളത്തിലൂടെ Health News അറിയൂ. Food and Recipes തുടങ്ങി മികച്ച ജീവിതം നയിക്കാൻ സഹായിക്കുന്ന ടിപ്സുകളും ലേഖനങ്ങളും — നിങ്ങളുടെ ദിവസങ്ങളെ കൂടുതൽ മനോഹരമാക്കാൻ Asianet News Malayalam