
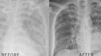
അപൂർവ രോഗം ബാധിച്ച് ഏറെ നാളായി ശ്വസിക്കാൻ ബുദ്ധിമുട്ടിയ ബംഗ്ലദേശിയുടെ ശ്വാസകോശം കഴുകി വൃത്തിയാക്കി അബുദാബിയിലെ ക്ലിവ് ലാൻഡ് ക്ലിനിക്. ശ്വാസകോശത്തില് പ്രോട്ടീന് അടിഞ്ഞു കൂടി മാരകമാകുന്ന പള്മൊനറി ആല്വിയോളാര് പ്രൊട്ടീനോസീസ് എന്ന അപൂര്വ്വ രോഗമായിരുന്നു ഡ്രൈവറായ ബംഗ്ലാദേശ് സ്വദേശിക്കെന്ന് ഡോ. റേധ സോയുലമാസ് പറഞ്ഞു.
ഡോ. റേധിന്റെ നേതൃത്വത്തിലുള്ള സംഘമാണ് ശസ്ത്രക്രിയ നടത്തിയത്. നാല് മണിക്കൂർ നടന്ന ശസ്ത്രക്രിയയിലാണ് ശ്വാസകോശം കഴുകി വൃത്തിയാക്കിയത്. ശ്വാസകോശം കഴുകി വൃത്തിയാക്കുമ്പോഴും വിവിധ അവയവങ്ങളിലേക്കുള്ള രക്തയോട്ടം തുടരാന് കൃത്രിമ ശ്വാസകോശം ഘടിപ്പിച്ചായിരുന്നു ചികിത്സ. 26 ലിറ്റര് വെള്ളം കഴുകാന് ഉപയോഗിച്ചു.
ഒരു ദിവസത്തിനു ശേഷം കൃത്രിമ ശ്വാസകോശം മാറ്റി. ഇപ്പോള് ആരോഗ്യ സ്ഥിതി വീണ്ടെടുത്ത ഡ്രൈവര് പൂര്ണമായും സുഖമായാല് നാട്ടിലേക്ക് പോകാനിരിക്കുകയാണ്. ആശുപത്രിയുടെ റെസ്പിറേറ്ററി ഇൻസ്റ്റിറ്റ്യൂട്ടിലെ പൾമോണോളജിസ്റ്റുകളായ മതീൻ ഉസ്ബെക്കും, അലി വഹ്ലയും രോഗിയുടെ ചികിത്സയിൽ പ്രധാന പങ്കുവഹിച്ചു.
ഏഷ്യാനെറ്റ് ന്യൂസ് മലയാളത്തിലൂടെ Health News അറിയൂ. Food and Recipes തുടങ്ങി മികച്ച ജീവിതം നയിക്കാൻ സഹായിക്കുന്ന ടിപ്സുകളും ലേഖനങ്ങളും — നിങ്ങളുടെ ദിവസങ്ങളെ കൂടുതൽ മനോഹരമാക്കാൻ Asianet News Malayalam