
നിത്യജീവിതത്തില് പല തരത്തിലുള്ള ആരോഗ്യപ്രശ്നങ്ങളും നാം നേരിടാറുണ്ട്. ജലദോഷം, പനി, ചുമ തുടങ്ങിയ അണുബാധകളാണ് പൊതുവേ എപ്പോഴും നാം നേരിടുന്ന തരം അസുഖങ്ങള്. ഇത്തരം അണുബാധകളെല്ലാം തന്നെ ബാക്ടീരിയ- വൈറസ്- ഫംഗസ് എന്നിങ്ങനെയുള്ള സൂക്ഷ്മ രോഗാണുക്കളാണ് ഉണ്ടാക്കുന്നതെന്നും നമുക്കറിയാം.
എന്നാല് എത്തരത്തിലാണ് ഇവ ശരീരത്തിനകത്ത് അണുബാധ സൃഷ്ടിക്കുന്നത്? അല്ലെങ്കില് എങ്ങനെയാണ് ഒരാളില് നിന്ന് വ്യത്യസ്തമായി ഒരേ അണുബാധ തന്നെ ഗൗരവമുള്ളതും അല്ലാത്തുമായി മാറുന്നത്?
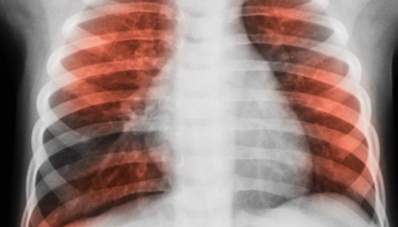
സിംഗപ്പൂരിലെ 'നന്യാംഗ് ടെക്നോളജിക്കല് യൂണിവേഴ്സിറ്റി'യില് നിന്നുള്ള ഒരു സംഘം ഗവേഷകര് ഈ വിഷയത്തില് ഒരു പഠനം നടത്തി. പഴകിയ ശ്വാസകോശരോഗമുള്ള 400 പേരില് നിന്നായി ശേഖരിച്ച സാമ്പിളുകളിലൂടെയാണ് ഗവേഷകര് പഠനം നടത്തിയത്. ഈ പഠനത്തിലൂടെ ശരീരത്തിനകത്തെത്തുന്ന രോഗാണുക്കള് ഒരു 'നെറ്റ്വര്ക്ക്' പോലെയാണ് പ്രവര്ത്തിക്കുന്നതെന്നും ഇവ തമ്മിലുള്ള ബന്ധത്തെ അടിസ്ഥാനപ്പെടുത്തിയാണ് അണുബാധയുടെ തീവ്രത മാറുന്നതെന്നും പഠനംസംഘം കണ്ടെത്തി.
ചില സന്ദര്ഭങ്ങളില് രോഗാണുക്കള് പരസ്പരം ഹസകരിച്ച് മുന്നോട്ടുപോകും. ഈ ഘട്ടത്തില് കാര്യമായ പ്രശ്നങ്ങള് കൂടാതെ തന്നെ രോഗിക്ക് ചികിത്സയെ നേരിടാം. എന്നാല് മറ്റ് ചില സന്ദര്ഭങ്ങളില് രോഗാണുക്കള് സഹകരിക്കുന്നതിന് പകരം തമ്മില് തമ്മില് മത്സരം നടത്തും. ഈ ഘട്ടത്തില് അണുബാധയുടെ ഗൗരവവും വര്ധിക്കുന്നു.
'നേച്ചര് മെഡിസിന്' എന്ന പ്രമുഖ പ്രസിദ്ധീകരണത്തിലാണ് പഠനം സംബന്ധിച്ച വിശദാംശങ്ങള് വന്നിട്ടുള്ളത്. വിവിധ തരത്തിലുള്ള അണുബാധകളെ പെട്ടെന്ന് കണ്ടെത്താനും അവയ്ക്കുള്ള ചികിത്സ ഫലപ്രദമായി നടത്താനുമെല്ലാം തങ്ങളുടെ കണ്ടെത്തല് സഹായകമാകുമെന്നാണ് പഠനംസംഘം അവകാശപ്പെടുന്നത്.
(സഞ്ജയ് ഹരേഷ് ചോതിര്മാല്)
'എങ്ങനെയാണ് മനുഷ്യശരീരത്തില് അണുബാധ കാണപ്പെടുന്നത് എന്നതിന്റെ ഒരു ചിത്രം തയ്യാറാക്കാന് ഞങ്ങള്ക്ക് ഞങ്ങളുടെ പഠനത്തിലൂടെ സാധിച്ചു. ശ്വാസകോശ രോഗമുള്ളവരുടെ സാമ്പിളുകളാണ് ഞങ്ങള് പഠനത്തിന് ഉപയോഗിച്ചതെങ്കിലും ഏത് തരം അണുബാധയുള്ളവരുടെ കാര്യത്തിലും സാഹചര്യം സമാനമായിരിക്കും. ഇത് ചികിത്സാമേഖലയിലും കാര്യമായ ചുവടുവയ്പുകള്ക്ക് നേതൃത്വം നല്കുമെന്നത് ഉറപ്പാണ്...'- പഠനസംഘത്തിന്റെ മോധാവിയും 'എന്ടിയു ലീ കോംഗ് ചിയാന് സ്കൂള് ഓഫ് മെഡിസിനി'ല് അസി.പ്രൊഫസറുമായ സഞ്ജയ് ഹരേഷ് ചോതിര്മാല് പറയുന്നു.
Also Read:- കൊവിഡ് 19; കുട്ടികളെ കൂടുതലായി ബാധിക്കുന്ന സിംഗപ്പൂര് വൈറസിനെ ചൊല്ലി ജാഗ്രത...
കൊവിഡ് മഹാമാരിയുടെ രണ്ടാംവരവിന്റെ ഈ കാലത്ത്, എല്ലാവരും മാസ്ക് ധരിച്ചും സാനിറ്റൈസ് ചെയ്തും സാമൂഹ്യ അകലം പാലിച്ചും വാക്സിന് എടുത്തും പ്രതിരോധത്തിന് തയ്യാറാവണമെന്ന് ഏഷ്യാനെറ്റ് ന്യൂസ് അഭ്യര്ത്ഥിക്കുന്നു. ഒന്നിച്ച് നിന്നാല് നമുക്കീ മഹാമാരിയെ തോല്പ്പിക്കാനാവും. #BreakTheChain #ANCares #IndiaFightsCorona
ഏഷ്യാനെറ്റ് ന്യൂസ് മലയാളത്തിലൂടെ Health News അറിയൂ. Food and Recipes തുടങ്ങി മികച്ച ജീവിതം നയിക്കാൻ സഹായിക്കുന്ന ടിപ്സുകളും ലേഖനങ്ങളും — നിങ്ങളുടെ ദിവസങ്ങളെ കൂടുതൽ മനോഹരമാക്കാൻ Asianet News Malayalam