
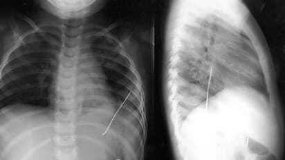
മുംബൈ: ശിരോവസ്ത്രത്തിൽ കുത്താൻ പല്ലിനിടയിൽ കടിച്ചു പിടിച്ചിരുന്ന പിൻ അബദ്ധത്തില് വിഴുങ്ങി പതിനെട്ടുകാരി. ശ്വാസകോശത്തിൽ കുടുങ്ങിയ പിൻ ഡോക്ടർമാർ പുറത്തെടുത്തത് ആറ് ദിവസങ്ങൾക്ക് ശേഷം. 3.5 സെന്റീമീറ്റർ നീളമുളള പിന്നാണ് പെൺകുട്ടിയുടെ ശ്വാസകോശത്തിൽനിന്നും ഡോക്ടർമാർ പുറത്തെടുത്തത്. നവംബർ 21ന് ഗോവയിലായിരുന്നു സംഭവം.
ശിരോവസ്ത്രത്തിൽ കുത്താൻ വേണ്ടി പല്ലിനിടയിൽ കടിച്ചു പിടിച്ച പിൻ അറിയാതെ വിഴുങ്ങുകയായിരുന്നു. ഉടൻ തന്നെ വീട്ടുകാർ പെൺകുട്ടിയെ തൊട്ടടുത്തുളള ആശുപത്രിയിൽ എത്തിച്ചു. തുടർന്ന് എക്സ് റേ എടുക്കുകയും പിൻ ശ്വാസകോശത്തിൽ കുടുങ്ങിയ നിലയിൽ കണ്ടെത്തുകയുമായിരുന്നു. എൻഡോസ്കോപ്പി വഴി പിൻ പുറത്തെടുക്കാൻ ഡോക്ടർമാർ ശ്രമിച്ചെങ്കിലും നടന്നില്ല.
തുടർന്ന് ഗോവയിലെ മൂന്ന് മെഡിക്കൽ കോളേജുകളിലും രണ്ട് സ്വകാര്യ ആശുപത്രികളിലും ചികിത്സയ്ക്കായി പോയിരുന്നെങ്കിലും ഡോക്ടർമാർക്കൊന്നും പെൺകുട്ടിയെ സഹായിക്കാൻ കഴിഞ്ഞില്ല. ശസ്ത്രക്രിയയിലൂടെ പിൻ പുറത്തെടുക്കാമെന്ന് ഡോക്ടർമാർ നിർദ്ദേശിച്ചിരുന്നെങ്കിലും പെൺകുട്ടിയുടെ മാതാപിതാക്കൾ സമ്മതിച്ചില്ല. പിന്നീട് ചെമ്പൂരിലെ സെൻ മൾട്ടിസ്പെഷ്യലിറ്റി ആശുപത്രിയിലെത്തി ബ്രോങ്കോസ്കോപ്പി വഴി പിന് പെൺകുട്ടിയുടെ ശ്വാസകോശത്തിൽനിന്ന് പുറത്തെടുക്കുകയായിരുന്നു.
പിൻ പുറത്തേക്ക് എടുക്കാൻ ഇനിയും വൈകിയിരുന്നെങ്കിൽ ശ്വാസകോശത്തിലേയും കരളിലേയും രക്തക്കുഴലുകൾക്ക് തകരാർ സംഭവിക്കുമായിരുന്നു. കൂടാതെ അണുബാധയ്ക്കും സാധ്യയെറേയായിരുന്നുവെന്ന് ശസ്ത്രക്രിയയ്ക്ക് നേതൃത്വം നൽകിയ ഡോക്ടർ അരവിന്ദ് കെയ്റ്റ് പറഞ്ഞു. എൻഡോസ്കോപ്പി വഴി പിൻ പുറത്തെടുക്കുന്നത് വളരെ അപകടം പിടിച്ചതിനാലാണ് ബ്രോങ്കോസ്കോപ്പി ചെയ്തത്. ഒരാഴ്ചയോളമായി ശ്വാസകോശത്തിലായതിനാൽ പിൻ പുറത്തെടുക്കുമ്പോൾ രക്ത ധമനികൾക്ക് സാരമായ പരുക്ക് എൽക്കാൻ സാധ്യതയുണ്ടായിരുന്നു. അതുകൊണ്ട് കൂടിയാണ് ബ്രോങ്കോസ്കോപ്പി ചെയ്തതെന്നും കെയ്റ്റ് വ്യക്തമാക്കി.
ഇന്ത്യയിലെയും ലോകമെമ്പാടുമുള്ള എല്ലാ India News അറിയാൻ എപ്പോഴും ഏഷ്യാനെറ്റ് ന്യൂസ് വാർത്തകൾ. Malayalam News തത്സമയ അപ്ഡേറ്റുകളും ആഴത്തിലുള്ള വിശകലനവും സമഗ്രമായ റിപ്പോർട്ടിംഗും — എല്ലാം ഒരൊറ്റ സ്ഥലത്ത്. ഏത് സമയത്തും, എവിടെയും വിശ്വസനീയമായ വാർത്തകൾ ലഭിക്കാൻ Asianet News Malayalam