
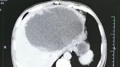
കടുത്ത വയറുവേദന മൂലം ആശുപത്രിയിലെത്തിയ അമ്പത്തിയഞ്ചുകാരന്റെ എക്സ് റേ ഫലം കണ്ട ഡോക്ടര്മാര് പോലും ഞെട്ടിത്തരിച്ചുപോയി. കരളിന്റെ വലത്തേ ഭാഗത്ത് മുഴുവനായി പഴുപ്പ് നിറഞ്ഞത് പോലെ തീരെ ചെറിയ മുഴകള് കൊണ്ട് നിറഞ്ഞിരിക്കുന്നു. ഇത് എന്ത് പറ്റിയതാണെന്ന് മാത്രം ആദ്യം ഡോക്ടര്മാര്ക്ക് മനസിലായില്ല.
എന്നാല് പിന്നീട് രോഗിയോട് തന്നെ വിശദമായി ചോദിച്ചതിനെ തുടര്ന്ന് സംഗതി വ്യക്തമായി. ചൈനയിലെ സിചുവാന് സ്വദേശിയായ മദ്ധ്യവയസ്കന് ജോലി ചെയ്യുന്നത് കിഴക്കന് ചൈനയിലെ പട്ടണത്തിലാണ്. ഇതിനിടെ അവധിക്ക് നാട്ടില് പോയ സമയത്ത് അദ്ദേഹം വലിയ കടല് മത്സ്യം കഴിച്ചിരുന്നു. കൂടുതല് രുചിക്ക് വേണ്ടി അത് ആവശ്യത്തിന് വേവിച്ചിരുന്നില്ല.
ഇതിന്റെ മാംസത്തില് നിന്നും ചെറിയ വിരകള് (പാരസൈറ്റ്) അദ്ദേഹത്തിന്റെ ശരീരത്തില് കയറിപ്പറ്റി. ശേഷം കരളിന്റെ വലത്തേ അറയിലായി വിരകള് താമസവും തുടങ്ങി. മാസങ്ങള് കൊണ്ട് ഇവ അവിടെ മുട്ടയിട്ട് പെറ്റ് പെരുകി. പഴുപ്പ് നിറഞ്ഞത് പോലെ എക്സ് റേയില് കണ്ട തീരെ സൂക്ഷ്മമായ മുഴകളെല്ലാം തന്നെ ഈ മുട്ടകളായിരുന്നത്രേ.
സംഗതി വ്യക്തമായതിനെ തുടര്ന്ന് ഡോക്ടര്മാര് ആദ്യം കരളില് നിന്ന് നീര് കുത്തിയെടുത്ത് ചികിത്സ തുടങ്ങി. എന്നാല് അതുകൊണ്ട് മാത്രം അദ്ദേഹം രക്ഷപ്പെടില്ലെന്ന് മനസിലാക്കിയതിനെ തുടര്ന്ന് ശസ്ത്രക്രിയയിലൂടെ കരളിന്റെ ഒരു ഭാഗം തന്നെ മുറിച്ചുമാറ്റി.
ചൈനയില് പലയിടങ്ങളിലും രുചിക്ക് വേണ്ടി മത്സ്യ-മാംസ വിഭവങ്ങള് അധികം വേവിക്കാതെ കഴിക്കുന്ന പതിവുണ്ട്. എന്നാല് ഇതിലെ അപകടം ആളുകള് കൂടുതലായി തിരിച്ചറിഞ്ഞുവരുന്നതിനാല് അടുത്ത കാലത്തായി ഇത്തരം പ്രശ്നങ്ങള് റിപ്പോര്ട്ട് ചെയ്യുന്നത് കുറവായിട്ടുണ്ടത്രേ. എങ്കിലും ചിലയിടങ്ങളിലെങ്കിലും ഈ പ്രവണത ഇപ്പോഴും സജീവമായി തുടരുന്നുണ്ട്.
ശസ്ത്രക്രിയയക്ക് ശേഷം മദ്ധ്യവയസ്കന് സുഖം പ്രാപിച്ചുവരുന്നതായാണ് 'ഹാംഗ്സ്യൂ ഫസ്റ്റ് പീപ്പിള്' ആശുപത്രി അറിയിക്കുന്നത്. വളരെ ഗുരുതരമായ അണുബാധയാണ് അദ്ദേഹത്തിന് ഉണ്ടായിരുന്നതെന്നും അതുകൊണ്ടാണ് ഗൗരവമുള്ള ശസ്ത്രക്രിയ തന്നെ വേണ്ടിവന്നതെന്നും ഡോക്ടര്മാര് വ്യക്തമാക്കുന്നു.
Also Read:- കടുത്ത തൊണ്ടവേദനയുമായെത്തിയ യുവതിയുടെ തൊണ്ടയില് നിന്ന് ഡോക്ടര്മാര് പുറത്തെടുത്തത്...
ഏഷ്യാനെറ്റ് ന്യൂസ് മലയാളത്തിലൂടെ Health News അറിയൂ. Food and Recipes തുടങ്ങി മികച്ച ജീവിതം നയിക്കാൻ സഹായിക്കുന്ന ടിപ്സുകളും ലേഖനങ്ങളും — നിങ്ങളുടെ ദിവസങ്ങളെ കൂടുതൽ മനോഹരമാക്കാൻ Asianet News Malayalam