
ബെംഗളൂരു: സ്ത്രീയുടെ തലയിൽ അപൂർവ്വ ശസ്ത്രക്രിയ നടത്തി ബെംഗളൂരുവിലെ ഡോക്ടർമാർ. തലയിൽ കല്ല് ഗോള രൂപത്തിലുള്ള കൊഴുപ്പ് അടിഞ്ഞതാണ് ശ്രീ സത്യസായ് ഇന്സ്റ്റിറ്റ്യൂട്ട് ഓഫ് ഹയര് മെഡിക്കല് സയന്സിലെ ഡോക്ടര്മാർ നീക്കം ചെയ്തത്. സത്യസായി ഇൻസ്റ്റിറ്റ്യൂട്ട് ഓഫ് ഹയർ മെഡിക്കൽ സയൻസസ് റേഡിയോളജി ജേണലിലാണ് ഈ അസാധാരണ അവസ്ഥയെക്കുറിച്ച് വിശദമായി വിവരിച്ചിരിക്കുന്നത്.
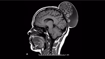
52 കാരിയായ സ്ത്രീ കുട്ടിക്കാലം മുതൽ തലയോട്ടിയിൽ മുഴയുമായി ജീവിച്ചു വരികയായിരുന്നു. എന്നാൽ ഇതുവരെ അവർ ചികിത്സ തേടിയിരുന്നില്ല. മുഴയിൽ നിന്ന് വേദന അനുഭവപ്പെട്ടിരുന്നില്ല. എന്നാൽ വീക്കം ഏകദേശം ആറ് ഇഞ്ച് നീളവും നാല് ഇഞ്ച് വീതിയിലും വളർന്നിരുന്നു. എംആർഐ സ്കാൻ ചെയ്തപ്പോഴാണ് തലയുടെ പിൻബാഗത്ത് മുടി കെട്ടി വച്ചതുപോലെ ബണ്ണിന്റെ വലിപ്പത്തിലുള്ള മുഴ കണ്ടെത്തിയത്. വെള്ളവും മുടിയും പ്രോട്ടീനായ കെരാറ്റിൻ ബോളുകളും നിറഞ്ഞ നിലയിലായിലായിരുന്നു നീക്കം ചെയ്ത മുഴ ഉണ്ടായിരുന്നതെന്നും ഡോക്ടർമാർ വിശദീകരിക്കുന്നു.
മുടിയുടെയും നഖങ്ങളുടെയും ചർമത്തിന്റെയും പുറംപാളികളിൽ സ്വാഭാവികമായി അടങ്ങിയിരിക്കുന്ന പ്രധാന പ്രോട്ടീനാണ് കെരാറ്റിൻ. ഇവയെ സംരക്ഷിക്കുന്നതിനും അവയെ ആരോഗ്യത്തോടെ നിലനിർത്തുന്നതിനും ഒരു ബാഹ്യ സംരക്ഷണവും ആന്തരിക ഘടനാപരമായ പ്രോട്ടീനും ആയി പ്രവർത്തിക്കുന്നു. ഇതിന്റെ വളർച്ച മൂലമുണ്ടാകുന്ന മുഴകളെ ഡെർമോയിഡ് സിസ്റ്റുകൾ എന്ന് വിളിക്കുന്നു, ഇത്തരത്തിൽ കോശങ്ങളിൽ നിന്ന് വളരുന്ന മുഴകൾ പലപ്പോഴും തലയിലും കഴുത്തിലും അടക്കമുള്ള ശരീര ഭാഗങ്ങളിൽ മുഴകളായി പ്രത്യക്ഷപ്പെടാറുണ്ട്. ഇത്തരം മുഴകളുടെ വികാസത്തിന്റെ കൃത്യമായ കാരണം വ്യക്തമല്ലെങ്കിലും, അവ പൊതുവെ നിരുപദ്രവകരവും വേദന രഹിതവും ആണെന്നാണ് ഡോക്ടർമാർ വിലിയിരുത്തുന്നത്. എന്നാൽ, ചില ഘട്ടങ്ങളിൽ അവ അണുബാധകളും, അടുത്തുള്ള എല്ലുകൾക്ക് കേടുപാടുകളും ഉണ്ടാക്കുന്നതിലേക്ക് നയിച്ചേക്കാം.
ഈ സ്ത്രീയുടെ കാര്യത്തിൽ മുഴയുടെ കാര്യത്തിൽ വൈദ്യ സഹായം തേടാൻ വൈകിയതിന്റെ കാരണം റിപ്പോർട്ടിൽ വ്യക്തമാക്കുന്നില്ല. എന്നാൽ വേദന രഹിതമായിരുന്നു മുഴയെന്നും, ഇത് വിജയകരമായി നീക്കം ചെയ്തതായും റിപ്പോർട്ട് വ്യക്തമാക്കുന്നു. ഇതിന് ശേഷം ആറ് മാസത്തോളം ഇവരെ നീരീക്ഷിക്കുകയും പുതിയ വളർച്ച ഉണ്ടാകുന്നില്ലെന്ന് ഉറപ്പുവരുത്തിയതായും റിപ്പോർട്ടിൽ വ്യക്തമാക്കുന്നു.
ഏഷ്യാനെറ്റ് ന്യൂസ് വാർത്തകൾ തത്സമയം കാണാം
ഏഷ്യാനെറ്റ് ന്യൂസ് മലയാളത്തിലൂടെ Health News അറിയൂ. Food and Recipes തുടങ്ങി മികച്ച ജീവിതം നയിക്കാൻ സഹായിക്കുന്ന ടിപ്സുകളും ലേഖനങ്ങളും — നിങ്ങളുടെ ദിവസങ്ങളെ കൂടുതൽ മനോഹരമാക്കാൻ Asianet News Malayalam