
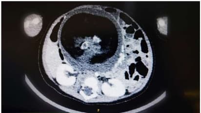
മസ്കറ്റ്: ഒമാനിലെ റോയല് ആശുപത്രിയില് എട്ടു മാസം പ്രായമുള്ള പെണ്കുഞ്ഞിന് അപൂര്വ്വ ശസ്ത്രക്രിയ. കുഞ്ഞിന്റെ വയറ്റില് നിന്ന് മറ്റൊരു ഭ്രൂണത്തെയാണ് ശസ്ത്രക്രിയയിലൂടെ പുറത്തെടുത്തത്.
ഗര്ഭാവസ്ഥയില് ഇരട്ട ഭ്രൂണങ്ങളില് ഒന്ന് പൊക്കിള്ക്കൊടി വഴി മറ്റൊന്നിന്റെ ഉള്ളില് പ്രവേശിക്കുന്ന 'ഫീറ്റസ് ഇന് ഫീറ്റു' എന്ന അവസ്ഥയാണിത്. അഞ്ചു ലക്ഷം പേരില് ഒരാള്ക്ക് സംഭവിക്കുന്നതാണ് 'ഫീറ്റസ് ഇന് ഫീറ്റു' എന്ന അവസ്ഥ.
റോയല് ആശുപത്രിയിലെ പീഡിയാട്രിക് സര്ജറി വിഭാഗം മേധാവി ഡോ. മുഹമ്മദ് അല് സജ്വാനിയുടെ നേതൃത്വത്തിലാണ് ശസ്ത്രക്രിയ നടന്നത്. ഡോ. സൈദ് ബനി ഒറാബ, ഡോ. മഹ്മൂദ് ഇബ്രാഹിം, ഡോ. മുഹമ്മദ് ഹാമിദ് എന്നിവരും ശസ്ത്രക്രിയ നടത്തിയ സംഘത്തിലുണ്ടായിരുന്നു. ശസ്ത്രക്രിയയ്ക്ക് ശേഷം ആരോഗ്യ നില മെച്ചപ്പെട്ട കുഞ്ഞിനെ മൂന്ന് ദിവസത്തിന് ശേഷം ആശുപത്രിയില് നിന്ന് ഡിസ്ചാര്ജ് ചെയ്തു.
ഏഷ്യാനെറ്റ് ന്യൂസ് മലയാളത്തിലൂടെ Pravasi Malayali News ലോകവുമായി ബന്ധപ്പെടൂ. Gulf News in Malayalam ജീവിതാനുഭവങ്ങളും, അവരുടെ വിജയകഥകളും വെല്ലുവിളികളുമൊക്കെ — പ്രവാസലോകത്തിന്റെ സ്പന്ദനം നേരിട്ട് അനുഭവിക്കാൻ Asianet News Malayalam