
നമ്മുടെ ശരീരത്തില് നടക്കുന്ന ഓരോ പ്രവര്ത്തനവും വളരെ പ്രധാനമാണ്. ഓരോ ഉറക്കത്തിനും ശേഷം ഉണരുന്നത് തന്നെ വലിയ അനുഗ്രഹം എന്ന് പ്രായമായവര് പറയുന്നതിന് പിന്നിലെ കാരണവും ഇതാണ്. നമ്മള് നിസാരമെന്ന് ചിന്തിക്കുന്ന പല കാര്യങ്ങളും അത്ര നിസാരമായിരിക്കണമെന്നില്ല,
ഇതുതന്നെ ഓര്മ്മിപ്പിക്കുകയാണ് ഇപ്പോള് ഏറെ ശ്രദ്ധ പിടിച്ചുപറ്റുന്നൊരു റിപ്പോര്ട്ട്. പ്രമുഖ ആരോഗ്യപ്രസിദ്ധീകരണമായ 'ബിഎംജെ കേസ് റിപ്പോര്ട്ട്സ്'ലാണ് 2018ല് നടന്ന സംഭവത്തിന്റെ വിശദാംശങ്ങള് വന്നത്.
ശരിക്കും നമ്മെ ഭയപ്പെടുത്തുന്നതും ഞെട്ടിപ്പിക്കുന്നതുമാണ് ഇതില് പറയുന്ന കേസ്. മുപ്പത്തിനാലുകാരനായ ഒരു യുവാവ്, ഇദ്ദേഹം യുകെ സ്വദേശിയാണ്. ഇദ്ദേഹം ഒരിക്കല് തുമ്മാൻ വന്നപ്പോള് തുമ്മാതെ വായയും മൂക്കും ബലമായി അടച്ചും പൊത്തിയും വച്ച് തുമ്മലിനെ ഒതുക്കി വയ്ക്കാൻ നോക്കി.
എന്നാല് ആ ശ്രമം പരാജയപ്പെടുകയും അതിശക്തമായി തുമ്മല് പുറത്തുവരികയും ചെയ്തു. ഇതിന് ശേഷം പതിയെ ഓരോ പ്രയാസങ്ങള് നേരിടാൻ തുടങ്ങി. ഭക്ഷണം വിഴുങ്ങാൻ ബുദ്ധിമുട്ട്, വേദന. സംസാരിക്കുമ്പോള് ശബ്ദത്തില് വ്യത്യാസം, തൊണ്ടയില് എന്തോ തടയുന്നത് പോലെയൊരു അനുഭവം... എന്നിങ്ങനെ പല പ്രശ്നങ്ങള്.
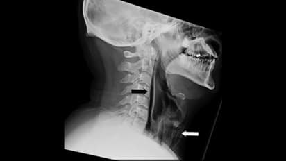
അങ്ങനെ ഇദ്ദേഹം ഡോക്ടറെ കണ്ടു. വിശദമായ പരിശോധനയിലാണ് അന്നത്തെ ശക്തമായ തുമ്മലാണ് ഇദ്ദേഹത്തിന് വിനയായത് എന്ന് മനസിലായത്. അതിശക്തമായി തുമ്മിയതോടെ തൊണ്ടയില് കീറല് വീഴുകയായിരുന്നുവത്രേ. 'ഫാരിംഗ്സ്' എന്ന ഭാഗത്താണ് പരുക്ക് പറ്റിയത്. ഇതോടെയാണ് വേദനയും അസ്വസ്ഥതയുമെല്ലാം തുടങ്ങിയത്.
എന്തായാലും ഇങ്ങനെയൊരു അപകടം സംഭവിക്കുന്നത് അപൂര്വമാണെന്നാണ് കേസിനെ ഉദ്ദരിച്ചുകൊണ്ട് ഡോക്ടര്മാര് അറിയിക്കുന്നത്. അതേസമയം ഇതുപോലുള്ള പ്രശ്നങ്ങള്ക്കുള്ള സാധ്യതയുണ്ടെന്നതും അവര് ഓര്മ്മിപ്പിക്കുന്നു. ഏറെ പ്രധാനം തന്നെയാണ് ഈ വിഷയം. കാരണം പലപ്പോഴും നാം നിസാരമായി തള്ളിക്കളയുന്ന കാര്യങ്ങളാണ് ഇവയെല്ലാം. എന്നാല് ഇത് മതി, നമുക്ക് കാര്യമായ പ്രയാസങ്ങള് സൃഷ്ടിക്കാൻ എന്നതാണ് ഈ റിപ്പോര്ട്ടും ഓര്മ്മിപ്പിക്കുന്നത്.
എന്തായാലും ചികിത്സയിലൂടെ യുവാവിന് സുഖപ്പെട്ടു എന്നാണ് റിപ്പോര്ട്ടില് പറയുന്നത്. ഒപ്പം തന്നെ ഇങ്ങനെയുള്ള കാര്യങ്ങളില് ശ്രദ്ധ പുലര്ത്തേണ്ടതിന്റെ പ്രാധാന്യവും റിപ്പോര്ട്ട് ചൂണ്ടിക്കാട്ടുന്നു.
'തുമ്മല് പിടിച്ചുവയ്ക്കുകയോ തുമ്മുമ്പോള് മൂക്കോ വായയോ ബ്ലോക്ക് ചെയ്ത് പൊത്തിപ്പിടിക്കുകയോ ചെയ്യരുത്. അത് എത്ര മാത്രം അപകടമാണെന്ന് ഇതിലൂടെ വ്യക്തമായിക്കാണുമല്ലോ. ഇങ്ങനെ ചെയ്യാതിരിക്കാൻ ഏവരും കരുതണം. തൊണ്ടയില് പരുക്ക് പറ്റല് മാത്രമല്ല. നെഞ്ചില് എയര് കുടുങ്ങാം, തലച്ചോറിന് പ്രശ്നം സംഭവിക്കാം. ഇവയെല്ലാം കുറെക്കൂടി ഗുരുതരമായ അവസ്ഥകളാണെന്നതും മനസിലാക്കണം...'- റിപ്പോര്ട്ട് വ്യക്തമായി പറയുന്നു.
Also Read:- ചായ കുടിച്ചതിന് പിന്നാലെ ഒന്നര വയസുകാരന്റെ മരണം; സംഭവം ചര്ച്ചയാകുന്നു...
ഏഷ്യാനെറ്റ് ന്യൂസ് ലൈവ് യൂട്യൂബില് കാണാം:-
ഏഷ്യാനെറ്റ് ന്യൂസ് മലയാളത്തിലൂടെ Health News അറിയൂ. Food and Recipes തുടങ്ങി മികച്ച ജീവിതം നയിക്കാൻ സഹായിക്കുന്ന ടിപ്സുകളും ലേഖനങ്ങളും — നിങ്ങളുടെ ദിവസങ്ങളെ കൂടുതൽ മനോഹരമാക്കാൻ Asianet News Malayalam