അമ്പരപ്പിക്കുന്ന പല ലക്ഷണങ്ങളുമായാണ് ചൈന സ്വദേശിയായ വാങ് ലീ കുറച്ച് വര്ഷങ്ങളായി കഴിഞ്ഞുവന്നത്. പെട്ടെന്ന് ബോധം നഷ്ടപ്പെടുക, ശരീരം കോച്ചിപ്പിടുക്കുന്ന അവസ്ഥയുണ്ടാവുക എന്നിവ അയാള്ക്ക് പതിവായിരുന്നു.
അമ്പരപ്പിക്കുന്ന പല ലക്ഷണങ്ങളുമായാണ് ചൈന സ്വദേശിയായ വാങ് ലീ കുറച്ച് വര്ഷങ്ങളായി കഴിഞ്ഞുവന്നത്. തലയില് തരിപ്പ്, പെട്ടെന്ന് ബോധം നഷ്ടപ്പെടുക, ശരീരം കോച്ചിപ്പിടുക്കുന്ന അവസ്ഥയുണ്ടാവുക എന്നിവ ലീക്ക് പതിവായിരുന്നു. അങ്ങനെയാണ് അയാള് ഡോക്ടറെ സമീപിച്ചത്. പരിശോധിച്ച ഡോക്ടര്മാര് ആദ്യം അമ്പരക്കുകയായിരുന്നു ചെയ്തത്.
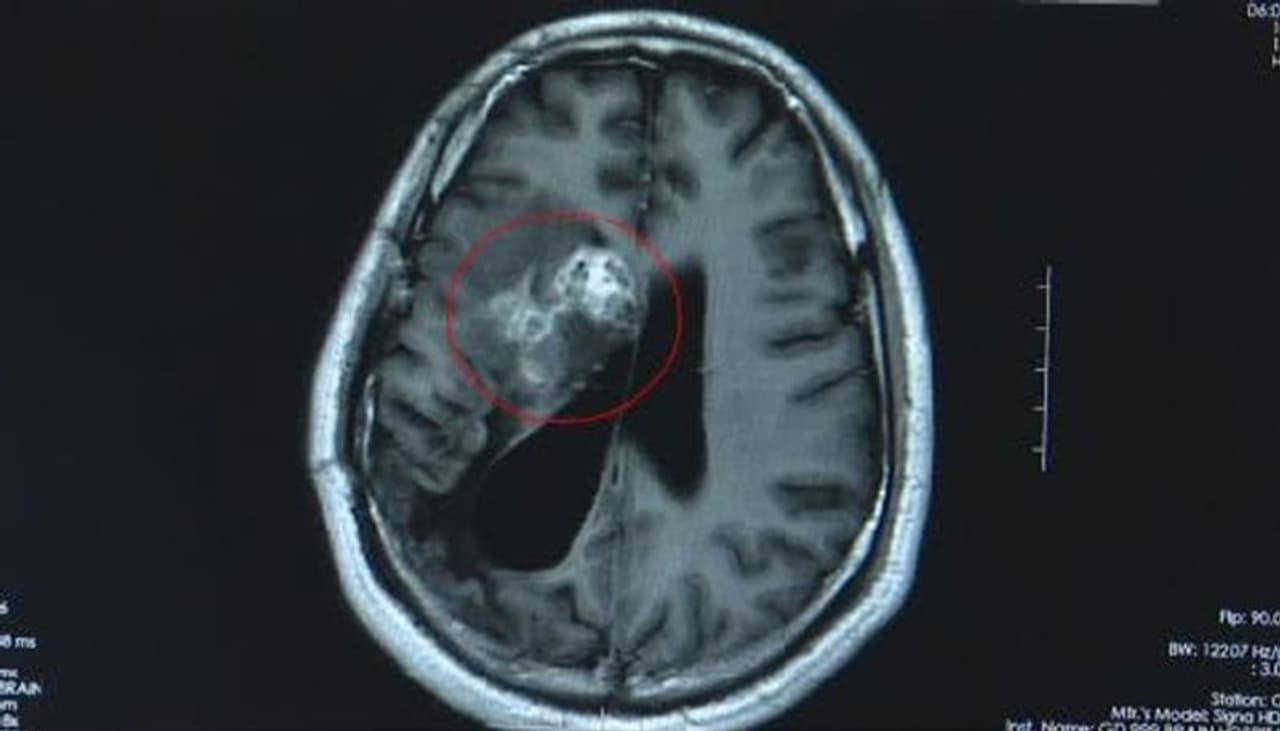
അയാളുടെ തലച്ചോറിനുള്ളില് നിന്ന് ജീവനുളള വലിയൊരു പുഴുവിനെയാണ് (Parasitic worm) ഡോക്ടര്മാര് കണ്ടെത്തിയത്. കഴിഞ്ഞ പത്ത് വര്ഷമായി അത് അയാളുടെ തലച്ചോറിനുളളിലുണ്ടായിരുന്നുവെന്നും ഡോക്ടര്മാര് പറയുന്നു. തലയുടെ ഇടത് ഭാഗത്തുണ്ടായ തരിപ്പ് ആയിരുന്നു ആദ്യത്തെ ലക്ഷണം. 2007ല് തുടങ്ങിയ ഈ ബുദ്ധുമുട്ട് മറ്റ് പല രോഗങ്ങളുടെയും ലക്ഷണമാകാമെന്നാണ് പരിശോധിച്ച ഡോക്ടര്മാര് ആദ്യം പറഞ്ഞത്.
എന്നാല് 2018ഓടെയാണ് തലച്ചോറിനുളളിലെ പുഴുവിനെ ഡോക്ടര്മാര് കണ്ടെത്തിയത്. 12 സെന്റിമീറ്റര് നാളത്തിലുള്ള പുഴുവായിരുന്നു വാങിന്റെ തലയ്ക്കുള്ളില് ഉണ്ടായിരുന്നത്. മനുഷ്യ ശരീരത്തിനുള്ളില് ഇത്രയും വലിയ പുഴു ജീവിക്കുക അസ്വഭാവികമായ കാര്യമാണെന്ന് ഡോക്ടര്മാര് പറയുന്നു. രണ്ട് മണിക്കൂര് നീണ്ട ശസ്ത്രക്രിയയിലൂടെയാണ് പുഴുവിനെ പുറത്തെടുത്തത്.

