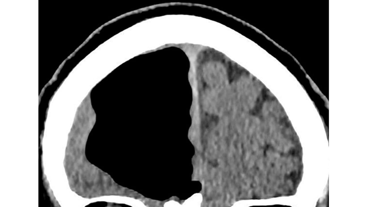
സിടി, എംആര്‍ഐ സ്‌കാനുകള്‍ ചെയ്യാന്‍ ഡോക്ടര്‍മാര്‍ ആവശ്യപ്പെട്ടു. സ്കാന്‍ റിപ്പോര്‍ട്ട് കണ്ടപ്പോള്‍ ഞെട്ടിയത് ഡോക്ടര്‍മാരായിരുന്നു.
ഡബ്ലിന്: പ്രായാധിക്യം മൂലമുണ്ടാകുന്ന പ്രശ്നങ്ങളുമായി ആശുപത്രിയിലെത്തിയ 84കാരന്റെ തലച്ചോര് പരിശോധിച്ചപ്പോള് ഞെട്ടിയത് ഡോക്ടര്മാര്. ഇടക്കിടെ ബാലന്സ് തെറ്റുന്നതും ഇടതുകാലിനും കൈയിനുമുള്ള ബലക്കുറവും പ്രശ്നമായപ്പോഴാണ് അയര്ലന്ഡ് സ്വദേശിയായ 84കാരന് കോളറീനിലുള്ള കോസ്വേ ആശുപത്രിയിലെത്തിയത്. പ്രാഥമിക പരിശോധനകകളില് കാര്യമായ പ്രശ്നങ്ങളൊന്നും കണ്ടെത്താനായില്ല. എന്നാല് അസുഖത്തിന് കുറവും ഉണ്ടായില്ല.
ഇതോടെ സിടി, എംആര്ഐ സ്കാനുകള് ചെയ്യാന് ഡോക്ടര്മാര് ആവശ്യപ്പെട്ടു. സ്കാന് റിപ്പോര്ട്ട് കണ്ടപ്പോള് ഞെട്ടിയത് ഡോക്ടര്മാരായിരുന്നു. അദ്ദേഹത്തിന്റെ തലച്ചോറിന്റെ മുന്നോട്ട് ഉന്തിനില്ക്കുന്ന ഭാഗത്തിന്റെ ഇടതുവശത്ത് ഏകദേശം ഒമ്പത് സെന്റിമീറ്റര് വലിപ്പത്തില് വലിയ ശൂന്യത. തലച്ചോറില്ലാതെ വെറുതെ ഒഴിഞ്ഞു കിടക്കുന്ന ഒരു ഭാഗം. തലയോട്ടിയില് വായു സാന്നിധ്യം കാണുന്ന അവസ്ഥയാണിത്. പുറമെ സൈനസില് ട്യൂമറിന്റെ പ്രാഥമിക ലക്ഷണങ്ങളും കണ്ടെത്തി. സൈനസിലെ ട്യൂമറിന്റെ സാന്നിധ്യം മൂലം അകത്തേക്കെടുക്കുന്ന വായു പുറത്തേക്ക് പോകാത്ത അവസ്ഥയുണ്ടാകുകയും ഇത് തലച്ചോറില് കേന്ദ്രീകരിച്ച് വലിയ മര്ദ്ദമുണ്ടാക്കി തലച്ചോറിനെ ഒരുവശത്തേക്ക് തള്ളി നീക്കിയതാകാമെന്നാണ് ഡോക്ടര്മാരുടെ നിഗമനം.
ബ്രെയിന് സര്ജറി നടത്തുന്നവരിലാണ് ഇത് കാണുന്നതെങ്കിലും ഇതിന് മുമ്പ് ഇത്തരം ശസ്ത്രക്രിയകളൊന്നും ഇദ്ദേഹം നടത്തിയിട്ടില്ല. സാധാരണ വളരെ ചെറിയ എയര്ഹോളുകളാണ് തലയോട്ടിയില് പ്രത്യക്ഷപ്പെടുന്നത്. എന്നാല് ഈ കേസില് മൂന്നര ഇഞ്ച് നീളത്തിലുള്ള എയര് പോക്കറ്റാണ് കണ്ടെത്തിയത്. തലയിലെ ശൂന്യഭാഗത്തെ വായു പുറത്തേക്ക് വിട്ട് മര്ദ്ദം കുറക്കാനുള്ള ശസ്ത്രക്രിയ നടത്താനാണ് ഡോക്ടര്മാര് നിര്ദേശം. എന്നാല് വലിയ അപകട സാധ്യത നിലനില്ക്കുന്ന ശസ്ത്രക്രിയയാതിനാല് ഇതുവരെ ഇക്കാര്യത്തില് അന്തിമ തീരുമാനം എടുത്തിട്ടില്ല.
