ചിലരില് കൊവിഡ് ഭേദമായി ഏതാനും ദിവസങ്ങള്ക്കുള്ളില് തന്നെ ശ്വാസകോശത്തിനേറ്റ പ്രശ്നങ്ങള് ഇല്ലാതായിപ്പോകാം. എന്നാല് മറ്റ് ചിലരില് ഈ പ്രശ്നങ്ങള് ദീര്ഘകാലത്തേക്ക് കിടക്കുകയും മറ്റ് ശ്വാസകോശരോഗങ്ങളിലേക്ക് വഴിവയ്ക്കുകയും ചെയ്യാം
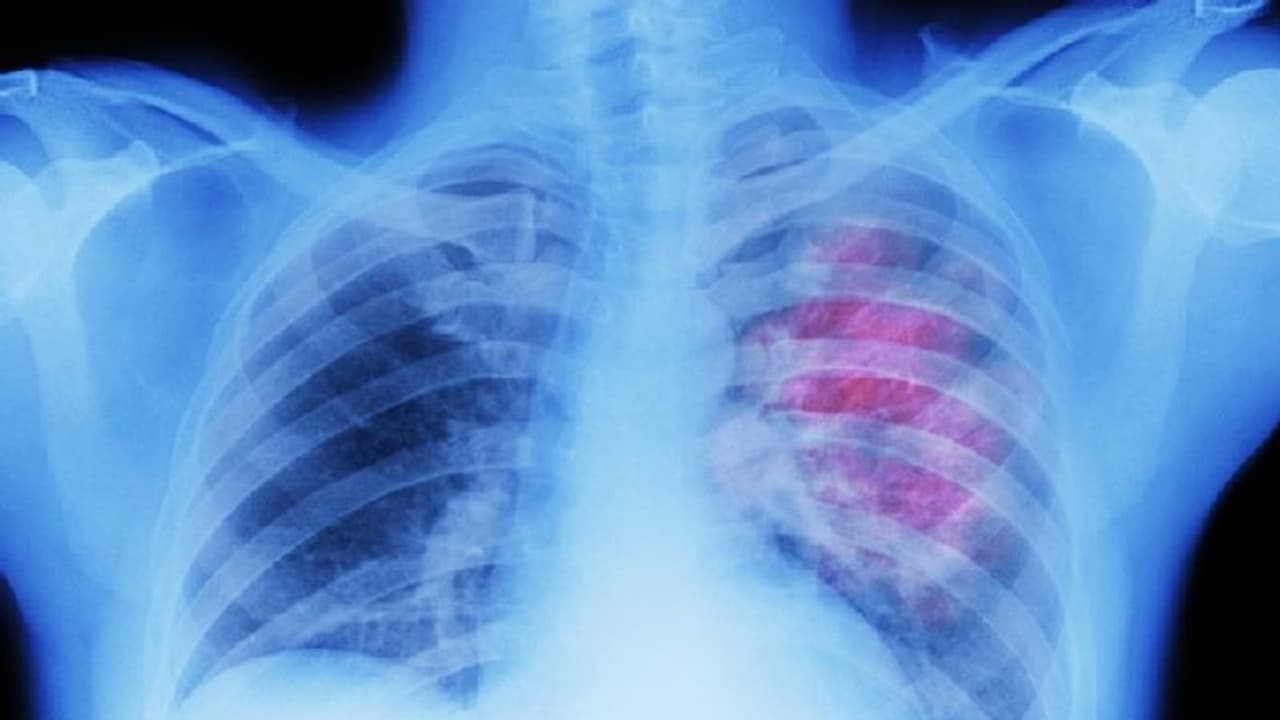
കൊവിഡ് 19 ( Covid 19 Infection )അടിസ്ഥാനപരമായി ഒരു ശ്വാസകോശ രോഗമാണെന്ന് ( Lung Disease ) നമുക്കെല്ലാം അറിയാം. പല അവയവങ്ങളുടെയും പ്രവര്ത്തനത്തെ ഇത് പ്രതികൂലമായി ബാധിക്കാം. എങ്കിലും ഏറ്റവമധികം വെല്ലുവിളി നേരിടുന്നത് ശ്വാസകോശം തന്നെയാണെന്ന് പറയാം.
കൊവിഡ് ബാധയെ തുടര്ന്ന് ന്യുമോണിയ പിടിപെട്ടവര് നിരവധിയാണ്. ഇത്തരത്തില് ന്യുമോണിയ ബാധിക്കപ്പെട്ട് ഗുരുതരാവസ്ഥയിലായവരും തീവ്രപരിചരണ വിഭാഗത്തില് വരെ പ്രവേശിക്കപ്പെട്ടവരും ജീവന് തന്നെ നഷ്ടമായവരും ഉണ്ട്.
ചിലരില് കൊവിഡ് ഭേദമായി ഏതാനും ദിവസങ്ങള്ക്കുള്ളില് തന്നെ ശ്വാസകോശത്തിനേറ്റ പ്രശ്നങ്ങള് ഇല്ലാതായിപ്പോകാം. എന്നാല് മറ്റ് ചിലരില് ഈ പ്രശ്നങ്ങള് ദീര്ഘകാലത്തേക്ക് കിടക്കുകയും മറ്റ് ശ്വാസകോശരോഗങ്ങളിലേക്ക് വഴിവയ്ക്കുകയും ചെയ്യാം. അതിനാല് തന്നെ കൊവിഡ് ശ്വാസകോശത്തെ ബാധിച്ചുവോ ഇല്ലയോ, ഉണ്ടെങ്കില് തന്നെ അതെത്രമാത്രം ഗൗരവമുള്ളതാണ് എന്നെല്ലാം തിരിച്ചറിയേണ്ടത് അത്യാവശ്യമാണ്. ഇതെങ്ങനെയാണ് തിരിച്ചറിയുക?
കൊവിഡിന് ശേഷം ശ്രദ്ധിക്കേണ്ടത്...
കൊവിഡ് ഭേദമായ ശേഷവും പലരിലും കൊവിഡ് ലക്ഷണമായി വരുന്ന തളര്ച്ച, തൊണ്ടവേദന, ചുമ, ശ്വാസതടസം എന്നിങ്ങനെയുള്ള പ്രശ്നങ്ങള് നീണ്ടുനില്ക്കാറുണ്ട്. 'ലോംഗ് കൊവിഡ്' എന്നാണിതിനെ വിളിക്കുന്നത്.

എന്തായാലും ചുമയും ശ്വാസതടസവും ഒപ്പം തന്നെ താഴ്ന്ന ഓക്സിജന് നിലയും കാണുന്നുവെങ്കില് തീര്ച്ചയായും ഡോക്ടറെ കണ്ട് സിടി സ്കാന് ചെയ്യേണ്ടതുണ്ടോയെന്ന് അന്വേഷിക്കുക. ന്യുമോണിയയുടെ അവശേഷിപ്പുകള് ശ്വാസകോശത്തിലുണ്ടോയെന്ന് മനസിലാക്കാന് സിടി സ്കാന് ഉപകരിക്കും.
കൊവിഡും ശ്വാസകോശവും...
കൊവിഡ് 19 ഒരു ശ്വാസകോശരോഗമാണെങ്കില് കൂടി എല്ലായ്പോഴും രോഗിയുടെ ശ്വാസകോശത്തെ ദോഷകരമായി ബാധിക്കണമെന്നില്ല. എന്നാല് നേരത്തേ ഏതെങ്കിലും വിധത്തിലുള്ള ശ്വാസകോശരോഗങ്ങള് ഉള്ളവരാണെങ്കില് പ്രത്യേകം ശ്രദ്ധിക്കുക, കൊവിഡ് നിങ്ങളുടെ രോഗാവസ്ഥയെ തീവ്രമാക്കാം.
ദീര്ഘകാലത്തേക്ക് നീണ്ടുനില്ക്കുന്ന പ്രശ്നങ്ങള്...
80 ശതമാനം കേസുകളിലും കൊവിഡ് ദീര്ഘകാലത്തേക്ക് നീണ്ടുനില്ക്കുന്ന ശ്വാസകോശ പ്രശ്നങ്ങള്ക്ക് കാരണമാകില്ലെന്നാണ് റിപ്പോര്ട്ടുകള് സൂചിപ്പിക്കുന്നത്. അതേസമയം 10 മുതല് 15 ശതമാനം വരെയുള്ള കേസുകളില് താഴ്ന്ന ഓക്സിജന് നിലയും ശ്വാസതടസവും പോലുള്ള പ്രശ്നങ്ങള് നീണ്ടുനില്ക്കുകയും ചെയ്യുന്നു.
ഇത് കൊവിഡ് ശ്വാസകോശത്തെ നല്ലരീതിയില് ബാധിച്ചുവെന്നതാണ് വെളിപ്പെടുത്തുന്നത്. ഇത്തരം കേസുകളില് പിന്നീട് രോഗിയെ വെന്റിലേറ്ററില് പ്രവേശിപ്പിക്കേണ്ടതായ സാഹചര്യവും ഒരുപക്ഷേ ജീവന് തന്നെ നഷ്ടപ്പെടുന്നതുമായ സാഹചര്യവും ഉണ്ടാകാം.

ഓക്സിജന് നില പരിശോധിക്കുക..
കൊവിഡ് ഭേദമായ ശേഷവും തളര്ച്ചയും ശ്വാസതടസവും അനുഭവപ്പെടുന്നവര് നിര്ബന്ധമായും കൃത്യമായ ഇടവേളകളില് ഓക്സിജന് നില പരിശോധിക്കുന്നത് ഉത്തമമാണ്. ഇത് വീടുകളില് വച്ചുതന്നെ ചെയ്യാനുള്ള സംവിധാനങ്ങള് ഇന്ന് ലഭ്യമാണ്.
ഓക്സിജന് നില 94നും 95നും മുകളിലായി കാണേണ്ടതുണ്ട്. ഇതിന് താഴേക്ക് ഓക്സിജന് നില വരികയും, ഒപ്പം തന്നെ രോഗിയില് ചുമ, ശ്വാസതടസം എന്നിവ കാണപ്പെടുകയും ചെയ്യുന്നുണ്ടെങ്കില് വൈദ്യസഹായം തേടുകയാണ് വേണ്ടത്.
Also Read:- ബിപി അപകടകരമാം വിധം ഉയര്ന്നാല് എങ്ങനെ തിരിച്ചറിയാം?
