ഇന്ന് പഞ്ചാബിലെ ജലന്ധറില് വീണ്ടുമൊരു 'ഗ്രീന് ഫംഗസ്' കേസ് കൂടി റിപ്പോര്ട്ട് ചെയ്യപ്പെട്ടിരിക്കുന്നു. ഇതോടെ പുതിയ തരം ഫംഗസ് ബാധയെ ചൊല്ലിയുള്ള ആശങ്കയിലാണ് പലരും. എന്നാല് ഗ്രീന് ഫംഗസ് എന്ന പേരില് ഇപ്പോള് വന്നിട്ടുള്ളതിന് സമാനമായ ഫംഗസ് കേസുകള് നേരത്തെ തന്നെ കൊവിഡുമായി ബന്ധപ്പെട്ട് രാജ്യത്ത് റിപ്പോര്ട്ട് ചെയ്യപ്പെട്ടിരുന്നു എന്നതാണ് വസ്തുത
കൊവിഡ് 19 മഹാമാരിയില് നിന്ന് മുക്തി നേടിയവരിലെ ബ്ലാക്ക് ഫംഗസ് ബാധ നമ്മളില് ഏറെ ആശങ്ക പരത്തിയ സംഭവമാണ്. പല ഘടകങ്ങളാണ് ഇത്തരത്തില് കൊവിഡ് അതിജീവിച്ചവരില് ബ്ലാക്ക് ഫംഗസ് ബാധയ്ക്ക് കാരണമായി പറയപ്പെടുന്നത്.
കൊവിഡ് പ്രശ്നങ്ങളെ പരിഹരിക്കാന് കഴിക്കുന്ന സ്റ്റിറോയ്ഡുകള് ശരീരത്തിനകത്തുണ്ടാക്കുന്ന പ്രവര്ത്തനങ്ങള്, പ്രമേഹം, കൊവിഡ് ചികിത്സയുടെ ഭാഗമായി ശുദ്ധീകരികാത്ത ഓക്സിജന് നല്കുന്നത് തുടങ്ങി പല പശ്ചാത്തലങ്ങളും ബ്ലാക്ക് ഫംഗസ് ബാധയില് വിശദീകരിക്കപ്പെടുന്നുണ്ട്. ഇതിന്റെ കൃത്യമായ കാരണം ചൂണ്ടിക്കാട്ടാന് ഇപ്പോഴും ഗവേഷകലോകത്തിന് കഴിഞ്ഞിട്ടില്ല.
ഇതിനിടെ ബ്ലാക്ക് ഫംഗസിന് പുറമെ 'വൈറ്റ് ഫംഗസ്', 'യോല്ലോ ഫംഗസ്' എന്നിങ്ങനെയുള്ള ഫംഗസ് ബാധകളും ഉയര്ന്നുകേട്ടു. ഇപ്പോഴിതാ 'ഗ്രീന് ഫംഗസ്' എന്ന പേരും നമ്മള് കേള്ക്കുകയാണ്. കഴിഞ്ഞ ആഴ്ച മദ്ധ്യപ്രദേശില് മുപ്പത്തിനാലുകാരനാണ് കൊവിഡ് മുക്തിക്ക് ശേഷം 'ഗ്രീന് ഫംഗസ്' ബാധ സ്ഥിരീകരിച്ചത്.

ഇന്ന് പഞ്ചാബിലെ ജലന്ധറില് വീണ്ടുമൊരു 'ഗ്രീന് ഫംഗസ്' കേസ് കൂടി റിപ്പോര്ട്ട് ചെയ്യപ്പെട്ടിരിക്കുന്നു. ഇതോടെ പുതിയ തരം ഫംഗസ് ബാധയെ ചൊല്ലിയുള്ള ആശങ്കയിലാണ് പലരും. എന്നാല് ഗ്രീന് ഫംഗസ് എന്ന പേരില് ഇപ്പോള് വന്നിട്ടുള്ളതിന് സമാനമായ ഫംഗസ് കേസുകള് നേരത്തെ തന്നെ കൊവിഡുമായി ബന്ധപ്പെട്ട് രാജ്യത്ത് റിപ്പോര്ട്ട് ചെയ്യപ്പെട്ടിരുന്നു എന്നതാണ് വസ്തുത.
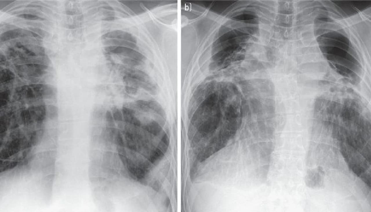
ഗ്രീന് ഫംഗസ് അഥവാ 'ആസ്പെര്ജിലോസിസ്' എന്നയിനത്തില് പെടുന്ന ഫംഗസ് ബാധ മെയ് മാസത്തില് തന്നെ ഗുജറാത്തില് റിപ്പോര്ട്ട് ചെയ്യപ്പെട്ടിരുന്നു. എട്ടോളം കേസുകളുടെ വിശദാംശങ്ങളും അന്ന് പുറത്തുവന്നിരുന്നു. എന്നാല് 'ഗ്രീന് ഫംഗസ്' എന്ന പേര് മാത്രം അന്ന് ഉയര്ന്നുകേട്ടില്ല.
ഫംഗസ് ബാധകളെ അവയുടെ നിറത്തിനും ചെറിയ വ്യത്യാസങ്ങളോട് കൂടിയ സവിശേഷതകള്ക്കുമനുസരിച്ച് പല വിഭാഗങ്ങളാക്കി തിരിക്കുന്നത് വലിയ ആശയക്കുഴപ്പങ്ങള്ക്ക് വഴിയൊരുക്കുമെന്ന് മുമ്പേ ദില്ലി എയിംസ് മേധാവി ഡോ.രണ്ദീപ് ഗുലേരിയ ചൂണ്ടിക്കാട്ടിയിരുന്നു. ഇതേ സാഹചര്യമാണ് ഇപ്പോള് വന്നിരിക്കുന്നതെന്ന് വേണം കരുതാന്.

കൊവിഡ് ബാധയെ തുടര്ന്ന് വരാന് സാധ്യതയുള്ള മൂന്ന് തരം ഫംഗസ് ബാധകളെ കുറിച്ചും ഡോ. ഗുലേരിയ കഴിഞ്ഞ മാസം വിശദമാക്കിയിരുന്നതാണ്. ഇതിനകത്ത് ഉള്പ്പെടുന്നതാണ് 'ആസ്പെര്ജിലോസിസ്' എന്ന ഗ്രീന് ഫംഗസ് ബാധയും. ഏറ്റവുമധികം ഭയപ്പെടേണ്ടത് ബ്ലാക്ക് ഫംഗസ് ബാധയെ തന്നെയാണെന്നും അദ്ദേഹം അന്ന് വ്യക്തമാക്കിയിരുന്നു.
ബ്ലാക്ക് ഫംഗസ് ബാധയുടെ ലക്ഷണങ്ങളോട് സാമ്യതയുള്ള ലക്ഷണങ്ങള് തന്നെയാണേ്രത ഗ്രീന് ഫംഗസിലും കാണപ്പെടുന്നത്. എന്നാല് ബ്ലാക്ക് ഫംഗസിനോളം ഇതിനെ ഭയപ്പെടേണ്ടതില്ലെന്നും വിദഗ്ധര് പറയുന്നു. സാധാരണനിലയില് ആരോഗ്യമുള്ള വ്യക്തികളും മറ്റ് അസുഖങ്ങളില്ലാത്തവരും എല്ലാം തന്നെ ശ്വസനത്തിലൂടെ അകത്തെടുക്കാന് സാധ്യതയുള്ള ഫംഗസാണ് ഇതും. എന്നാല് പ്രതിരോധശേഷി കുറഞ്ഞിരിക്കുന്നവരില് ശ്വാസകോശത്തില് അണുബാധയുണ്ടാവുകയാണ്. നേരത്തേ തന്നെ ശ്വാസകോശ രോഗമുള്ളവരിലും 'ആസ്പെര്ജിലോസിസ്' പിടിപെടാന് സാധ്യതയുണ്ട്.
Also Read:- ബ്ലാക്ക് ഫംഗസിനും വൈറ്റ് ഫംഗസിനും പിന്നാലെ 'യെല്ലോ' ഫംഗസ്?
