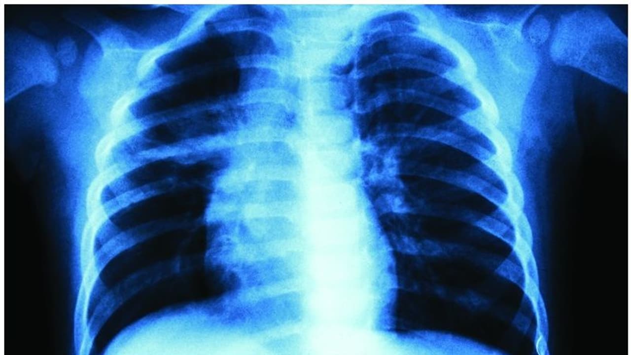
എക്സ് റേ സ്കാനിംഗ് ഉപയോഗിച്ചാണ് വൈറസിന്റെ സാന്നിധ്യം സോഫ്റ്റ്വെയര് കണ്ടെത്തുന്നത് എന്നാണ് സിവില് എന്ജിനിയറിംഗ് വിഭാഗം പ്രൊഫസറായ കമാല് ജെയിന് അവകാശപ്പെടുന്നത്
ദില്ലി: കൊവിഡ് 19 അഞ്ച് നിമിഷത്തിനുള്ളില് കണ്ടെത്താന് കഴിയുന്ന സോഫ്റ്റ്വെയര് കണ്ടെത്തിയെന്ന അവകാശവാദവുമായി ഐഐടി പ്രൊഫസര്. ഉത്തരാഖണ്ഡിലെ ഐഐടി റൂര്ഖിയിലെ പ്രൊഫസറുടേതാണ് അവകാശവാദം. എക്സ് റേ സ്കാനിംഗ് ഉപയോഗിച്ചാണ് വൈറസിന്റെ സാന്നിധ്യം സോഫ്റ്റ്വെയര് കണ്ടെത്തുന്നത് എന്നാണ് സിവില് എന്ജിനിയറിംഗ് വിഭാഗം പ്രൊഫസറായ കമാല് ജെയിന് അവകാശപ്പെടുന്നത്.
നാല്പത് ദിവസമെടുത്താണ് സോഫ്റ്റ്വെയര് നിര്മ്മിക്കാനായി എടുത്തതെന്ന് കമാല് ജെയിന് ടൈംസ് ഓഫ് ഇന്ത്യയോട് പ്രതികരിക്കുന്നു. ഇന്ത്യന് കൌണ്സില് ഫോര് മെഡിക്കല് റിസര്ച്ചില് (ഐസിഎംആര്)സോഫ്റ്റ്വെയറിന്റെ പേറ്റന്റിന് വേണ്ടി സമീപിച്ചിരിക്കുകയാണ് പ്രൊഫസര്. തന്റെ സോഫ്റ്റ്വെയര് ഉപയോഗിച്ചുള്ള സ്ക്രീനിംഗ് നടത്തിയാല് ആരോഗ്യ പരിപാലന മേഖലയില് പ്രവര്ത്തിക്കുന്നവര്ക്ക് വൈറസ് വ്യാപനം കുറയുമെന്നും കുറഞ്ഞ ചിലവില് ടെസ്റ്റ് നടത്താനാകുമെന്നുമാണ് കമാല് ജെയിന് അവകാശപ്പെടുന്നത്. എന്നാല് കമാല് ജെയിനിന്റെ അവകാശവാദങ്ങള്ക്ക് ഇതുവരെ ആരോഗ്യ വകുപ്പിന്റെ അംഗീകാരം ലഭിച്ചിട്ടില്ല.
അറുപതിനായിരം എക്സ് റേ സ്കാനുകളുടെ ഡാറ്റാ ബേസ് പരിശോധിച്ച ശേഷമാണ് തന്റെ സോഫ്റ്റ്വെയര് കണ്ടെത്തല് എന്ന് പ്രൊഫസര് കമാല് പറയുന്നു. കൊവിഡ് 19, ന്യൂമോണിയ, ടിബി തുടങ്ങിയ രോഗികളുടെ നെഞ്ചിലുണ്ടാവുന്ന ബുദ്ധിമുട്ടുകള് വിവിധ തരത്തിലാണ്. അമേരിക്കയിലെ എന്ഐഎച്ച് ക്ലിനിക്കല് സെന്ററിലെ ഡാറ്റ ബേസ് ഗവേഷണത്തിനായി ഉപയോഗപ്പെടുത്തിയെന്നും പ്രൊഫസര് കമാല് പ്രതികരിക്കുന്നു.
വൈറസ് ബാധ സംശയിക്കുന്ന ആളിന്റെ എക്സ്റേ ഉപയോഗിച്ച് കൊവിഡ് 19ന്റെ സാന്നിധ്യം കണ്ടെത്താം. രോഗിക്ക് ന്യൂമോണിയ ഏത് ഘട്ടത്തിലാണെന്നും പ്രാഥമിക സ്ക്രീനിംഗില് അറിയാന് കഴിയും. വെറസ് ബാധമൂലമുള്ള രോഗലക്ഷണങ്ങളാണോ രോഗിക്കുള്ളതെന്നും പ്രാഥമിക ടെസ്റ്റില് തന്നെ കണ്ടെത്താന് സാധിക്കുമെന്നുമാണ് പ്രൊഫസര് കമാല് ജെയിന് വിശദമാക്കുന്നത്.
