രോഗത്തിനെതിരായ പ്രതിരോധ മാര്ഗങ്ങള് പിന്തുടരണമെന്നും യാത്ര ചെയ്യമ്പോഴും വലിയ ആള്ക്കൂട്ടങ്ങളിലും ജാഗ്രത പാലിക്കണമെന്നും പൊതുജനങ്ങളോട് മന്ത്രാലയം അഭ്യര്ത്ഥിച്ചിട്ടുണ്ട്.
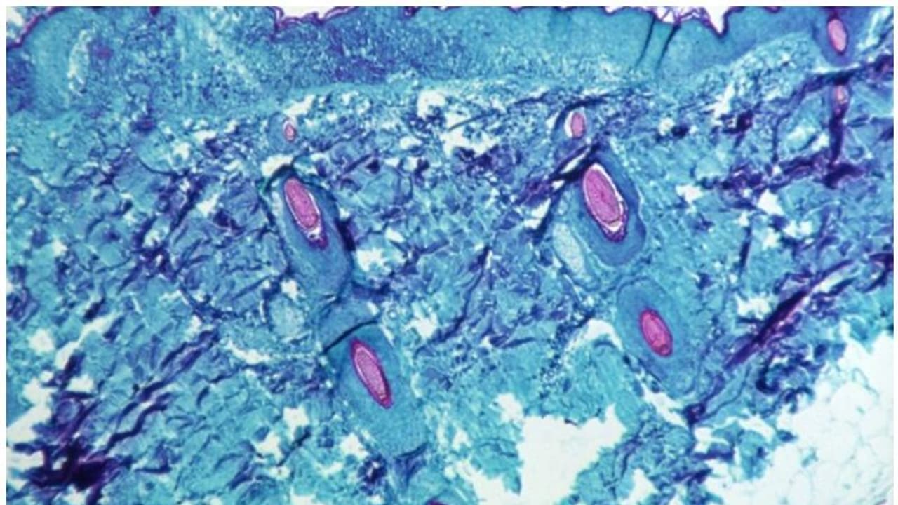
അബുദാബി: യുഎഇയില് നാല് പുതിയ കുരങ്ങുപനി (Monkeypox) കേസുകള് കൂടി സ്ഥിരീകരിച്ചു. രാജ്യത്തെ സാംക്രമികരോഗ നിരീക്ഷണ സംവിധാനത്തിന്റെ ഭാഗമായാണ് ഈ കേസുകള് കണ്ടെത്തിയത്. ഇതോടെ യുഎഇയില് സ്ഥിരീകരിച്ച കുരങ്ങുപനി കേസുകളുടെ എണ്ണം ആകെ എട്ടായി.
രോഗത്തിനെതിരായ പ്രതിരോധ മാര്ഗങ്ങള് പിന്തുടരണമെന്നും യാത്ര ചെയ്യമ്പോഴും വലിയ ആള്ക്കൂട്ടങ്ങളിലും ജാഗ്രത പാലിക്കണമെന്നും പൊതുജനങ്ങളോട് മന്ത്രാലയം അഭ്യര്ത്ഥിച്ചിട്ടുണ്ട്.
കുരങ്ങുപനി; ക്വാറന്റീനും ഐസൊലേഷനും ഏര്പ്പെടുത്തി യുഎഇ
കുരങ്ങുപനി വൈറല് രോഗമാണെങ്കിലും കൊവിഡുമായി താരതമ്യം ചെയ്യുമ്പോള് വ്യാപകമായി പകരാറില്ല. രോഗം ബാധിച്ച മനുഷ്യനുമായോ അല്ലെങ്കില് മൃഗവുമായോ ഉള്ള അടുത്ത സമ്പര്ക്കത്തിലൂടെയാണ് രോഗം സാധാരണയായി പകരുന്നത്. ശരീരസ്രവങ്ങള് വഴിയോ മൂക്കില് നിന്നും വായില് നിന്നുമുള്ള സ്രവങ്ങള് വഴിയോ അല്ലെങ്കില് വൈറസ് സാന്നിദ്ധ്യമുള്ള സാധനങ്ങളില് നിന്നോ ആണ് രോഗബാധയുണ്ടാകുന്നത്. ഗര്ഭിണികളില് നിന്ന് ഗര്ഭസ്ഥ ശിശുവിലേക്കും രോഗം പകരാമെന്നും ആരോഗ്യ - പ്രതിരോധ മന്ത്രാലയം പുറത്തിറക്കിയ പ്രസ്താവനയില് പറയുന്നു. അതേസമയം രോഗ പരിശോധനയും രോഗികളുടെ സമ്പര്ക്ക പരിശോധനയും ആരോഗ്യ നിരീക്ഷണവും ഉള്പ്പെടെ എല്ലാ നടപടികളും രാജ്യത്തെ ആരോഗ്യ വിഭാഗം അധികൃതര് സ്വീകരിച്ചുവരുന്നുണ്ടെന്നും അറിയിച്ചിട്ടുണ്ട്.
മേയ് 24നാണ് യുഎഇയില് ആദ്യത്തെ കുരങ്ങുപനി കേസ് റിപ്പോര്ട്ട് ചെയ്യപ്പെട്ടത്. വെസ്റ്റ് ആഫ്രിക്കയില് നിന്ന് യുഎഇയിലെത്തിയ 29 വയസുകാരനായ സന്ദര്ശകനാണ് രോഗം സ്ഥിരീകരിച്ചത്. പകര്ച്ചവ്യാധികളില് നിന്നുള്ള സുസ്ഥിരമായ പ്രതിരോധവും സംരക്ഷണവും ലക്ഷ്യമിട്ട് രാജ്യത്ത് ആരോഗ്യ വിഭാഗങ്ങളുമായി സഹകരിച്ച് അന്താരാഷ്ട്ര മാനദണ്ഡങ്ങള് പ്രകാരം ഒരു പകര്ച്ചവ്യാധി നിരീക്ഷണ സംവിധാനം ഏര്പ്പെടുത്തുകയാണെന്ന് അധികൃതര് അറിയിച്ചിരുന്നു.
രോഗം സ്ഥിരീകരിച്ചവരെ പൂര്ണമായും സുഖപ്പെടുന്നതുവരെ ആശുപത്രികളില് തന്നെ ചികിത്സിക്കുകയാണ് ചെയ്യുന്നത്. ഇവരുമായി അടുത്ത സമ്പര്ക്കത്തിലേര്പ്പെട്ടവര്ക്ക് 21 ദിവസത്തില് കുറയാത്ത ഭവന നിരീക്ഷണവും നിഷ്കര്ഷിച്ചിട്ടുണ്ട്. ഈ സമയത്ത് ആരോഗ്യസ്ഥിതിയും ഭവന നിരീക്ഷണ നിബന്ധനകള് പാലിക്കുന്നുണ്ടോ എന്നും നിരീക്ഷിക്കും.
