സാധാരണഗതിയില് വിശ്വസനീയമായ കൊവിഡ് പരിശോധനാരീതിയായി നമ്മള് അവലംബിച്ചിരിക്കുന്നത് ആര്ടിപിസിആര് ടെസ്റ്റിനെയാണ്. എന്നാല് ജനിതകമാറ്റം വന്ന വൈറസുകളെ ആര്ടിപിസിആര് മുഖേന കണ്ടെത്താന് സാധിക്കില്ലെന്നാണ് ഡോക്ടര്മാരടക്കമുള്ള പലരും വാദിക്കുന്നത്
കൊവിഡ് 19 രണ്ടാം തരംഗം രാജ്യത്ത് ആഞ്ഞടിക്കുകയാണ്. ഇക്കുറി രണ്ടും മൂന്നും തവണ ജനിതകമാറ്റം സംഭവിച്ച വൈറസാണ് കൂടുതലും രോഗം പരത്തുന്നതെന്ന് ഇതിനോടകം തന്നെ വിദഗ്ധര് വ്യക്തമാക്കിയതാണ്. എന്നാല് ഇതില് ഏറ്റവുമധികം വെല്ലുവിളിയാകുന്നത്, ഇവയെ ആര്ടിപിസിആര് വഴി കണ്ടെത്താന് സാധിക്കില്ലെന്ന് വാദമാണ്.
സാധാരണഗതിയില് വിശ്വസനീയമായ കൊവിഡ് പരിശോധനാരീതിയായി നമ്മള് അവലംബിച്ചിരിക്കുന്നത് ആര്ടിപിസിആര് ടെസ്റ്റിനെയാണ്. എന്നാല് ജനിതകമാറ്റം വന്ന വൈറസുകളെ ആര്ടിപിസിആര് മുഖേന കണ്ടെത്താന് സാധിക്കില്ലെന്നാണ് ഡോക്ടര്മാരടക്കമുള്ള പലരും വാദിക്കുന്നത്.
അങ്ങനെയെങ്കില് അത് നിലവിലെ സാഹചര്യത്തില് വലിയ ആഘാതങ്ങളാണ് സൃഷ്ടിക്കുക. രോഗമുള്ള വ്യക്തി പരിശോധന നടത്തിയാലും ഫലം 'നെഗറ്റീവ്' ആയി കാണിക്കാനും അയാള് രോഗമില്ലെന്ന് വിശ്വസിച്ച് ധൈര്യപൂര്വ്വം മറ്റുള്ളവരോട് ഇടപെടുന്നത് മൂലം രോഗവ്യാപനം സംഭവിക്കുകയും ചെയ്യാം.

എന്നാല് രാജ്യത്ത് കണ്ടെത്തപ്പെട്ടിട്ടുള്ള ജനിതകമാറ്റം വന്ന വൈറസുകളെയെല്ലാം കണ്ടെത്താന് ആര്ടിപിസിആര് പര്യാപ്തമാണെന്ന മറുവാദവും ശക്തമാണ്. ഇനി ജനിതകമാറ്റം വന്ന വൈറസിനെ കണ്ടെത്താന് സാധിക്കാത്തത് കൊണ്ട് മാത്രമല്ല, മറ്റ് കാരണങ്ങള് കൊണ്ടും രോഗമുള്ളയാളുടെ ടെസ്റ്റ് ഫലം 'നെഗറ്റീവ്' ആയി കാണിക്കാമെന്ന് പറയുന്നവരും ഉണ്ട്.
'പുതിയ വൈറസുകളില് പലതിനെയും ആര്ടിപിസിആര് പരിശോധന വഴി കണ്ടെത്താനാകുന്നില്ല. രണ്ടും മൂന്നും തവണ മാറ്റത്തിന് വിധേയമായ വൈറസുകള് രാജ്യത്തുണ്ടെന്നാണ് ഞാന് മനസിലാക്കുന്നത്. ഇവയുടെയെല്ലാം ലക്ഷണങ്ങളും രോഗം ബാധിക്കുന്ന തീവ്രതയും രോഗവ്യാപനത്തിന്റെ വേഗതയുമെല്ലാം വ്യത്യസ്തമാണ്...' ദില്ലിയില് കണ്സള്ട്ടന്റ് ഫിസീഷ്യനായ ഡോ. ചന്ദ്ര പറയുന്നു.
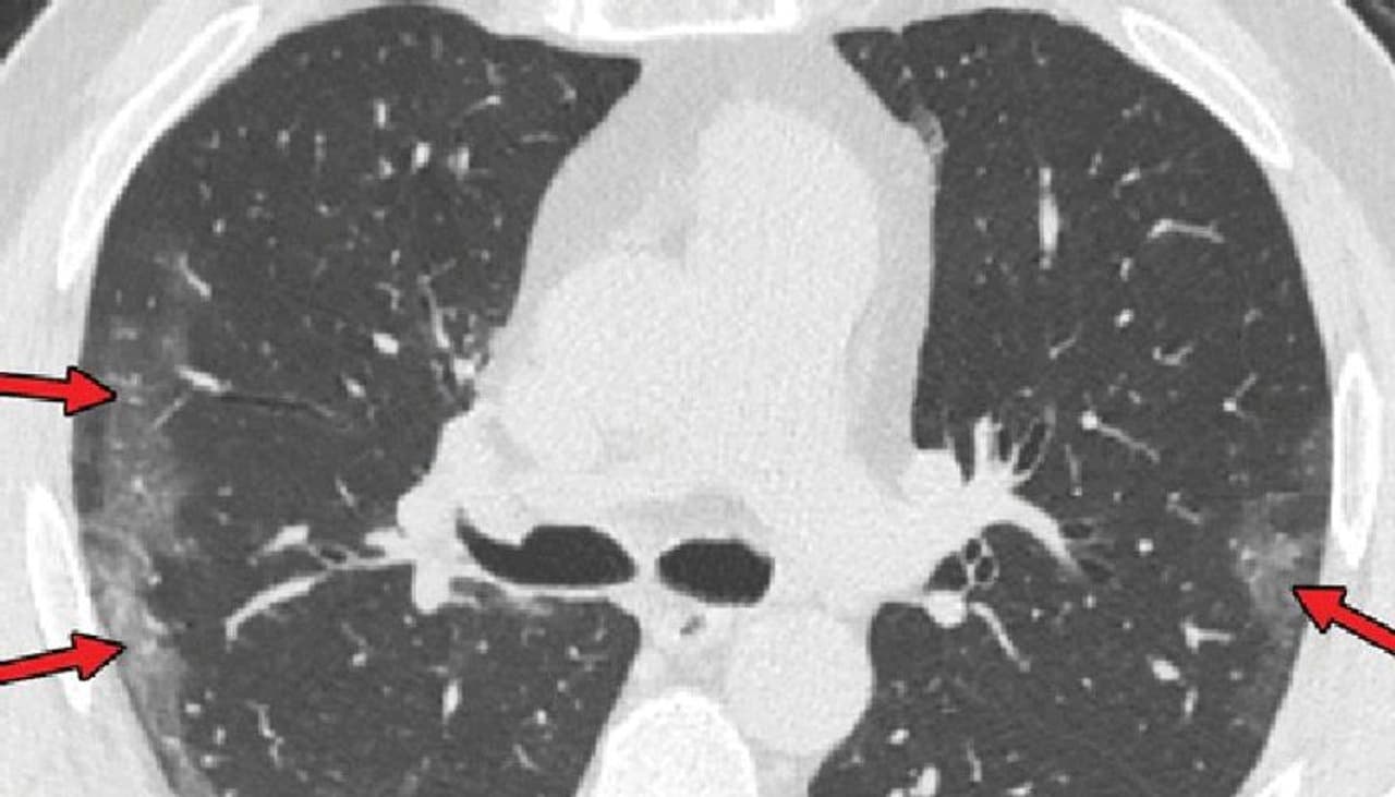
പലയിടങ്ങളിലും രോഗികള് ടെസ്റ്റ് ഫലം 'നെഗറ്റീവ്' ആയി കാണിച്ചതോടെ പോവുകയും പിന്നീട് ലക്ഷണങ്ങള് മൂലം തിരിച്ച് ആശുപത്രിയിലെത്തുകയും ചെയ്യുന്നതായും റിപ്പോര്ട്ടുകളുണ്ട്. ഇവരില് തന്നെ പിന്നീട് എച്ച്ആര്സിടി (സ്കാന്), ബ്രോങ്കോസ്കോപ്പി തുടങ്ങിയ പരിശോധനകളിലൂടെ കൊവിഡ് വൈറസ് സാന്നിധ്യം കണ്ടെത്തപ്പെട്ടതായും വാര്ത്തകള് പുറത്തുവരുന്നുണ്ട്.

ദില്ലി, മുംബൈ, കൊക്കത്ത എന്നിവിടങ്ങളില് നിന്നെല്ലാം സമാനമായ പരാതികളും സംഭവങ്ങളും റിപ്പോര്ട്ട് ചെയ്യപ്പെടുന്നുണ്ട്. കൊവിഡ് കേസുകള് കുത്തനെ ഉയര്ന്ന് രാജ്യമാകെ കനത്ത പ്രതിസന്ധിയിലേക്ക് നീങ്ങിക്കൊണ്ടിരിക്കുന്ന സാഹചര്യത്തില് ഇത്തരമൊരു വെല്ലുവിളി ഉയരുന്നത് വലിയ ആശയക്കുഴപ്പത്തിനാണ് ഇടയാക്കുന്നത്. കൊവിഡ് പരിശോധനാ രീതികളിലും മാറ്റങ്ങള് വരണമെന്നും ആര്ടിപിസിആര് രീതി അടക്കമുള്ളവയെ പുനപരിശോധനയ്ക്ക് എടുക്കണമെന്നും ഈ ഘട്ടത്തില് നിരവധി പേരാണ് ആവശ്യപ്പെടുന്നത്.
Also Read:- കൊവിഡ് പരിശോധനാ ഫലം ഓൺലൈനായി അറിയാം; ചെയ്യേണ്ടത് ഇങ്ങനെ...
