സാധാരണഗതിയില് നമ്മളെല്ലാം ഈ ഫംഗസിനെ ശ്വസനത്തിലൂടെ അകത്തെടുക്കാന് സാധ്യതയുള്ളതാണെന്നാണ് വിദഗ്ധര് പറയുന്നത്. എന്നാല് പ്രതിരോധശേഷി വളരെ കുറവായവരാണെങ്കില് അവര് ഈ ഫംഗസിനെ അകത്തേക്കെടുക്കുമ്പോള് അത് 'ആസ്പെര്ജിലോസിസ്' എന്ന ഫംഗല് ബാധയ്ക്ക് കാരണമാകുന്നു
കൊവിഡ് ഭേദമായവരില് പിടിപെടുന്ന 'മ്യൂക്കോര്മൈക്കോസിസ്' അഥവാ ബ്ലാക്ക് ഫംഗസ് ബാധ വലിയ തോതിലുള്ള ആശങ്കയാണ് നിലവില് സൃഷ്ടിച്ചിരിക്കുന്നത്. ബ്ലാക്ക് ഫംഗസിന് പുറമെ വൈറ്റ് ഫംഗസ്, യെല്ലോ ഫംഗസ് എന്നിങ്ങനെയുള്ള വ്യത്യസ്തമായ ഫംഗല് ബാധകളും പലയിടങ്ങളിലും റിപ്പോര്ട്ട് ചെയ്യപ്പെട്ടിരുന്നു.
ഇപ്പോഴിതാ 'ആസ്പെര്ജിലോസിസ്' എന്ന ഫംഗല് ബാധയും രാജ്യത്ത് ചിലയിടങ്ങളില് റിപ്പോര്ട്ട് ചെയ്ത് വരികയാണ്. ബ്ലാക്ക് ഫംഗസ് ബാധ ഏറ്റവുമധികം കണ്ടെത്തപ്പെട്ട ഗുജറാത്തില് തന്നെയാണ് 'ആസ്പെര്ജിലോസിസ്' കേസുകളും ഇപ്പോള് റിപ്പോര്ട്ട് ചെയ്യപ്പെട്ടിരിക്കുന്നത്.
ഇത്തരത്തിലുള്ള എട്ട് കേസുകളാണ് നിലവില് ഗുജറാത്തിലെ വഡോദരയില് വന്നിരിക്കുന്നത്. എട്ട് പേരും ആശുപത്രിയില് ചികിത്സയിലാണ്. മുഴുവന് പേരും കൊവിഡ് 19 ബാധിക്കപ്പെട്ട് അതിനെ അതിജീവിച്ചവരാണ്.

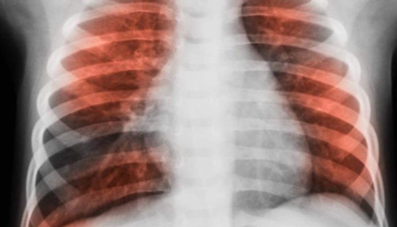
ബ്ലാക്ക് ഫംഗസ് കേസുകളിലെ പോലെ തന്നെ പ്രതിരോധശേഷി കുറവായവരിലും സ്റ്റിറോയ്ഡ് ഉപയോഗം കൂടിയവരിലും തന്നെയാണ് 'അസ്പെര്ജിലോസിസ്'ഉം പിടിപെടുന്നത്. വീട്ടിനകത്തോ പുറത്തോ എല്ലാമായി കണ്ടേക്കാവുന്ന 'ആസ്പെര്ജില്ലസ്' എന്ന ഫംഗസാണ് ഇതിന് കാരണമാകുന്നത്.
സാധാരണഗതിയില് നമ്മളെല്ലാം ഈ ഫംഗസിനെ ശ്വസനത്തിലൂടെ അകത്തെടുക്കാന് സാധ്യതയുള്ളതാണെന്നാണ് വിദഗ്ധര് പറയുന്നത്. എന്നാല് പ്രതിരോധശേഷി വളരെ കുറവായവരാണെങ്കില് അവര് ഈ ഫംഗസിനെ അകത്തേക്കെടുക്കുമ്പോള് അത് 'ആസ്പെര്ജിലോസിസ്' എന്ന ഫംഗല് ബാധയ്ക്ക് കാരണമാകുന്നു. ശ്വാസകോശത്തിലാണ് പ്രധാനമായും അണുബാധയുടെ പ്രശ്നങ്ങളുണ്ടാക്കുക എന്നതിനാല് തന്നെ നേരത്തേ ശ്വാസകോശ രോഗമുള്ളവരിലും രോഗം വരാനുള്ള സാധ്യത കൂടുതലാണ്.

Also Read:- കൊവിഡ് ബാധിക്കാത്തവരിലും ബ്ലാക്ക് ഫംഗസ് പിടിപെടുമോ?...
ബ്ലാക്ക് ഫംഗസിനോളം അപകടമുണ്ടാക്കുന്നതല്ല 'ആസ്പെര്ജിലോസിസ്' എന്നാണ് വിദഗ്ധര് അറിയിക്കുന്നത്. എന്നാല് അപൂര്വ്വം ചിലരിലെങ്കിലും ഇത് ജീവന് ഭീഷണിയാകുന്ന തരത്തില് മാറിയേക്കാമെന്നും ഇവര് ഓര്മ്മിപ്പിക്കുന്നു. ഏതായാലും ബ്ലാക്ക് ഫംഗസ് കേസുകളെ അപേക്ഷിച്ച് വളരെ കുറവാണ് 'ആസ്പെര്ജിലോസിസ്' കേസുകള്. രാജ്യത്ത് ഇതുവരെ 11,000ത്തിലധികം ബ്ലാക്ക് ഫംഗസ് കേസുകളാണ് വിവിധ സംസ്ഥാനങ്ങളില് നിന്നായി റിപ്പോര്ട്ട് ചെയ്യപ്പെട്ടിരിക്കുന്നത്.
Also Read:- ബ്ലാക്ക് ഫംഗസിനും വൈറ്റ് ഫംഗസിനും പിന്നാലെ 'യെല്ലോ' ഫംഗസ്?...
കൊവിഡ് മഹാമാരിയുടെ രണ്ടാംവരവിന്റെ ഈ കാലത്ത്, എല്ലാവരും മാസ്ക് ധരിച്ചും സാനിറ്റൈസ് ചെയ്തും സാമൂഹ്യ അകലം പാലിച്ചും വാക്സിന് എടുത്തും പ്രതിരോധത്തിന് തയ്യാറാവണമെന്ന് ഏഷ്യാനെറ്റ് ന്യൂസ് അഭ്യര്ത്ഥിക്കുന്നു. ഒന്നിച്ച് നിന്നാല് നമുക്കീ മഹാമാരിയെ തോല്പ്പിക്കാനാവും. #BreakTheChain #ANCares #IndiaFightsCorona
