സാധാരണഗതിയില് സ്തനത്തിന് വലിപ്പം കൂട്ടാനാണ് സര്ജറിയിലൂടെ സിലിക്കണ് ജെല് പിടിപ്പിക്കുന്നത്. ഇത്തരത്തില് ശസ്ത്രക്രിയ നടത്തിയ മുപ്പതുകാരിക്കാണ് ഇത് പിന്നീട് ജീവന് തന്നെ സംരക്ഷിക്കുന്ന തരത്തിലേക്ക് രക്ഷാകവചമായത്
സ്തനത്തില് സിലിക്കണ് ജെല് പിടിപ്പിച്ചത് മൂലം വെടിയേറ്റിട്ടും ജീവന് ഭീഷണിയിലാകാതെ രക്ഷപ്പെട്ട് യുവതി. 2018ല് കാനഡയിലെ ടൊറന്റോയില് നടന്ന വിചിത്രമായ സംഭവം 'SAGE' എന്ന ആരോഗ്യപ്രസിദ്ധീകരണത്തില് വന്ന കേസ് സ്റ്റഡിയിലൂടെയാണ് ഇപ്പോള് പുറംലോകം അറിഞ്ഞിരിക്കുന്നത്.
സാധാരണഗതിയില് സ്തനത്തിന് വലിപ്പം കൂട്ടാനാണ് സര്ജറിയിലൂടെ സിലിക്കണ് ജെല് പിടിപ്പിക്കുന്നത്. ഇത്തരത്തില് ശസ്ത്രക്രിയ നടത്തിയ മുപ്പതുകാരിക്കാണ് ഇത് പിന്നീട് ജീവന് തന്നെ സംരക്ഷിക്കുന്ന തരത്തിലേക്ക് രക്ഷാകവചമായത്.
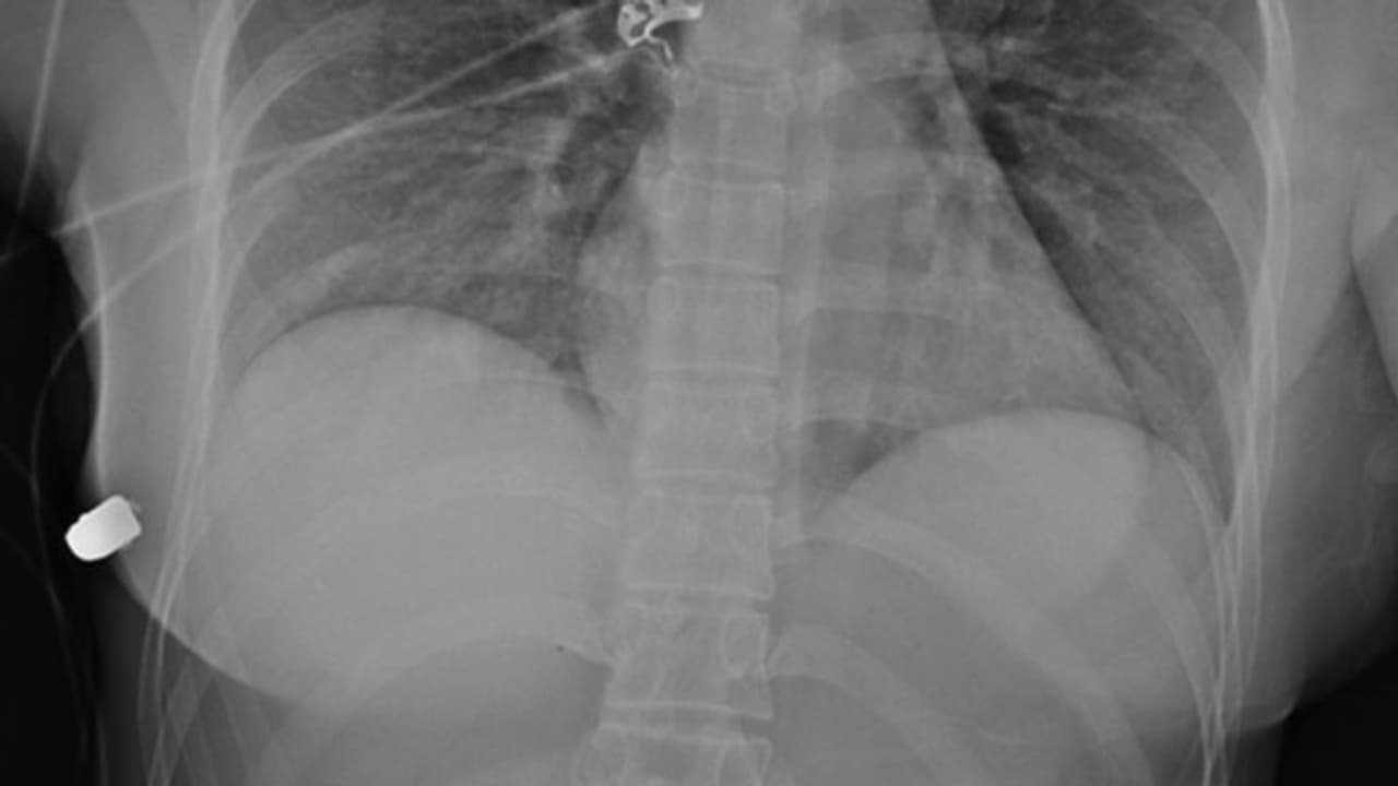
റോഡിലൂടെ നടന്നുപോകവേയാണ് യുവതിക്ക് അജ്ഞാതന്റെ വെടിയേറ്റത്. ഉടന് തന്നെ ഇവരെ ആശുപത്രിയില് പ്രവേശിപ്പിച്ചിരുന്നു. തുടര്ന്ന് വലത്തേ സ്തനത്തില് നിന്ന് ഡോക്ടര്മാര് വെടിയുണ്ട കണ്ടെടുക്കുകയും ചെയ്തു. അത്ര അകലെ നിന്നല്ലാതെ വന്ന വെടിയുണ്ട ഇടത്തേ സ്തനം തുളച്ച് അകത്തുകയറി, സിലിക്കണ് ജെല്ലില് തട്ടിത്തെറിച്ച് വലത്തേ സ്തനത്തിലെത്തിയെന്നാണ് ഡോക്ടര്മാര് വിശദീകരിച്ചത്.
Also Read:- സ്തനങ്ങളുടെ അസാമാന്യ വലിപ്പം മൂലം വേദന; ഒടുവില് ശസ്ത്രക്രിയയ്ക്കായി പിരിവ് ചോദിച്ച് യുവതി...
വാരിയെല്ലുകള്ക്ക് പരിക്ക് പറ്റിയെങ്കിലും ഹൃദയം, ശ്വാസകോശം തുടങ്ങിയ സുപ്രധാനമായ ആന്തരീകാവയവങ്ങള്ക്ക് യാതൊരു കേടുപാടും സംഭവിച്ചില്ല. അത്യപൂര്വ്വമായ സംഭവമെന്ന നിലയ്ക്ക് ഈ സംഭവം പഠനവിധേയമാക്കുകയായിരുന്നു വിദഗ്ധര്. യുവതിയുടെ സ്കാനിംഗ് റിപ്പോര്ട്ടും മുറിവുകളുടെ ഫോട്ടോഗ്രാഫുമെല്ലാം പുറത്തുവന്നിട്ടുണ്ട്.
