പലരിലും 'സ്ട്രോക്ക്' തിരിച്ചറിയപ്പെടാതെ പോകാറുണ്ട്. 'സൈലന്റ് സ്ട്രോക്ക്' എന്ന് ഇതിനെ വിശേഷിപ്പിക്കാം. ചില ലക്ഷണങ്ങളിലൂടെ ഇത് ഭാഗികമായി തിരിച്ചറിയാന് സാധിക്കും. എന്നാല് ഈ ലക്ഷണങ്ങളൊക്കെ തന്നെ സാധാരണഗതിയില് നമ്മള് നിത്യജീവിതത്തില് അനുഭവിക്കുന്ന ആരോഗ്യപ്രശ്നങ്ങളായി കണക്കാക്കി, അവഗണിക്കുന്നവയാണ് എന്നതാണ് ഇതിലെ അപകടകരമായ വസ്തുത
ഇന്ന് ലോക 'സ്ട്രോക്ക്' ദിനമാണ്. ടസ്ട്രോക്ക്' അഥവാ പക്ഷാഘാതം, എഴുപതുകള് കടന്നവരില് മൂന്നിലൊരു വിഭാഗത്തിന് എന്ന തോതില് കാണപ്പെടുന്നുണ്ട്. പ്രായമായവരില് മാത്രമല്ല ചെറുപ്പക്കാരിലും 'സ്ട്രോക്ക്' വരാറുണ്ട്. തലച്ചോറിനെ ബാധിക്കുന്നതായതിനാല് തന്നെ ഓര്മ്മ, സംസാരശേഷി, പെരുമാറ്റം, ചലനങ്ങള് തുടങ്ങിയ ധര്മ്മങ്ങളെയാണ് ഇത് ബാധിക്കുന്നത്.
പലരിലും 'സ്ട്രോക്ക്' തിരിച്ചറിയപ്പെടാതെ പോകാറുണ്ട്. 'സൈലന്റ് സ്ട്രോക്ക്' എന്ന് ഇതിനെ വിശേഷിപ്പിക്കാം. ചില ലക്ഷണങ്ങളിലൂടെ ഇത് ഭാഗികമായി തിരിച്ചറിയാന് സാധിക്കും. എന്നാല് ഈ ലക്ഷണങ്ങളൊക്കെ തന്നെ സാധാരണഗതിയില് നമ്മള് നിത്യജീവിതത്തില് അനുഭവിക്കുന്ന ആരോഗ്യപ്രശ്നങ്ങളായി കണക്കാക്കി, അവഗണിക്കുന്നവയാണ് എന്നതാണ് ഇതിലെ അപകടകരമായ വസ്തുത.
സ്ട്രോക്കിന്റെ ലക്ഷണങ്ങള്...
'മൂഡ്' മാറ്റങ്ങളാണ് ഇതിന്റെയൊരു പ്രധാന ലക്ഷണം. പല മാനസിക വിഷമതകളുടേയും ഭാഗമായി 'മൂഡ് ഡിസോര്ഡര്' ഉണ്ടാകാറുണ്ട്. അതിനാല് തന്നെ ഇത് സ്ട്രോക്കിന്റെ ലക്ഷണമായെല്ലാം മനസിലാക്കുന്നവര് വളരെ ചുരുക്കമായിരിക്കും.

ശരീരത്തിന്റെ 'ബാലന്സ്' നഷ്ടപ്പെടുന്നതാണ് സ്ട്രോക്കിന്റെ മറ്റൊരു ലക്ഷണം. നടക്കുമ്പോഴും ഇരിക്കുമ്പോഴുമെല്ലാം ശരീരത്തെ ഏകോപിപ്പിക്കാനാകാതെ വരുന്ന സാഹചര്യം. ചലനങ്ങളെ തലച്ചോറിന് കൈകാര്യം ചെയ്യാനാകാതെ വരുമ്പോഴാണ് ഇങ്ങനെ സംഭവിക്കുന്നത്. ഇത്തരത്തില് പേശികളുടെ ചലനങ്ങളില് കാണുന്ന ഏകോപനമില്ലായ്യും സ്ട്രോക്കിന്റെ സാധ്യതകളിലേക്ക് വിരല് ചൂണ്ടുന്നു.
മൂത്രാശയത്തെ നിയന്ത്രണത്തിലാക്കി വയ്ക്കാനുള്ള കഴിവ് നഷ്ടമാകുന്നതും സ്ട്രോക്കിന്റെ ഒരു ലക്ഷണമായി കണക്കാക്കപ്പെടുന്നുണ്ട്. എന്നാല് ഈ പ്രശ്നം മൂത്രാശയ സംബന്ധമായ ചില അസുഖങ്ങളുടേയും ലക്ഷണമായി വരാറുണ്ട്.

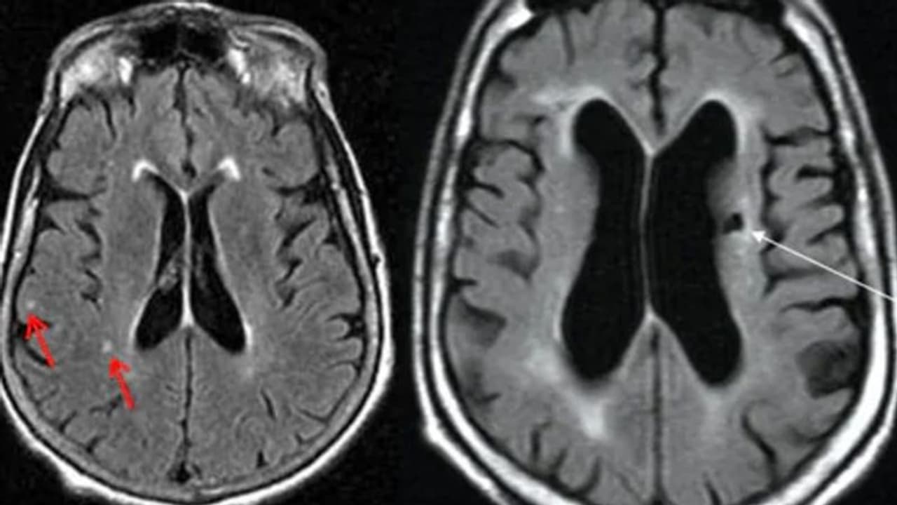
ഇത്തരത്തില് 'സൈലന്റ് സ്ട്രോക്കി'ന്റെ പല ലക്ഷണങ്ങളും മറ്റ് പല അസുഖങ്ങളുടേയും ലക്ഷണങ്ങള്ക്ക് സമാനമാണ്. അതിനാല് തന്നെ ഈ പ്രശ്നങ്ങള് ശ്രദ്ധയില് പെടുന്ന പക്ഷം ഒരു ഡോക്ടറെ കണ്ട് ആവശ്യമായ പരിശോധനകള് നടത്തി, ഇക്കാര്യം ഉറപ്പുവരുത്തുകയാണ് ഉചിതം. തലച്ചോറിന്റെ സി.ടി സ്കാന്, എംആര്ഐ എന്നിവയിലൂടെ സ്ട്രോക്ക് സംഭവിച്ചിട്ടുണ്ടോയെന്ന് ഡോക്ടര്ക്ക് കൃത്യമായി നിര്ണയിക്കാന് കഴിയും. ആ രീതിയില് ശാസ്ത്രീയമായിത്തന്നെ ഇതില് വ്യക്തത വരുത്താം.
Also Read:- കൊവിഡ് ബാധിക്കുന്ന ചെറുപ്പക്കാരില് സ്ട്രോക്ക് സാധ്യത കൂടുന്നുവെന്ന് പഠനം...
