എന്തോ ശ്വസന പ്രശ്നമാകുമെന്ന് കരുതിയ ഡോക്ടര് ഇയാള്ക്ക് മരുന്ന് നല്കി. എന്നാല് രണ്ട് ദിവസത്തിന് ശേഷം വീണ്ടും എത്തിയ വൃദ്ധന് തനിക്ക് ശ്വസിക്കാന്പോലുമാകുന്നില്ലെന്നും...
ലണ്ടന്: വയറിനുള്ളിലെ മുഴ നീക്കം ചെയ്യുന്നതിനുള്ള ശസ്ത്രക്രിയക്കിടെ വൃദ്ധന്റെ വെപ്പുപല്ല് തൊണ്ടയില് കുടുങ്ങി. ബ്രിട്ടനിലാണ് സംഭവം. രോഗിയുടെ വിവരങ്ങള് പുറത്തുവിട്ടിട്ടില്ല. ഓപ്പറേഷനെത്തിയ 72കാരനായ വൃദ്ധന് വെപ്പുപല്ലിനെ കുറിച്ച് ഡോക്ടറോട് പറഞ്ഞിരുന്നില്ല.
ശസ്ത്രക്രിയക്ക് ശേഷം മുറിയിലേക്ക് മാറ്റിയ വൃദ്ധന് എന്നാല് വായിലൂടെ രക്തം വരുന്നതായും വേദനയുള്ളതായും ഡോക്ടറെ അറിയിച്ചു. ഇയാള്ക്ക് കട്ടിയുള്ള ആഹാരം കഴിക്കാനോ ഉമിനീരിറക്കാന് പോലുമോ ആകുന്നില്ലായിരുന്നു.
എന്തോ ശ്വസന പ്രശ്നമാകുമെന്ന് കരുതിയ ഡോക്ടര് ഇയാള്ക്ക് മരുന്ന് നല്കി. എന്നാല് രണ്ട് ദിവസത്തിന് ശേഷം വീണ്ടും എത്തിയ വൃദ്ധന് തനിക്ക് ശ്വസിക്കാന്പോലുമാകുന്നില്ലെന്നും വേദന കാരണം ഉറങ്ങാനാകുന്നില്ലെന്നും അറിയിച്ചപ്പോഴാണ് ഡോക്ടര് പരിശോധന നടത്തിയത്.
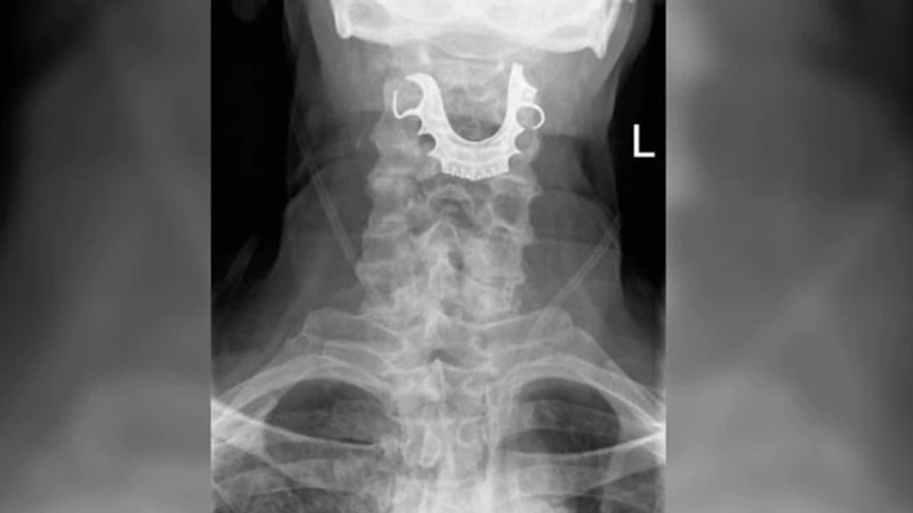
എന്റോസ്കോപ്പി എടുത്തപ്പോഴാണ് തൊണ്ടയ്ക്കുള്ളില് കുടുങ്ങിയ വെപ്പുപല്ല് ഡോക്ടറുടെ ശ്രദ്ധയില്പ്പെട്ടത്. പിന്നീട് മറ്റൊരു ശസ്ത്രക്രിയകൂടി നടത്തിയാണ് വെപ്പുപല്ല് തൊണ്ടയില് നിന്ന് പുറത്തെടുത്തത്. എന്നാല് ഇതോടെയും ഈ വൃദ്ധന്റെ ആശുപത്രിവാസം അവസാനിച്ചിരുന്നില്ല.
പിന്നീട് ദിവസങ്ങള്ക്ക് ശേഷം വീണ്ടും അയാള് ആശുപത്രിയിലെത്തി. വായിലൂടെ രക്തം വരുന്നുവെന്ന് തന്നെയായിരുന്നു അയാള് ഡോക്ടറെ അറിയിച്ചത്. പിന്നീട് നോക്കിയപ്പോഴാണ് തൊണ്ടയില് മുറിവുകള് രൂപപ്പെട്ടിട്ടുണ്ടെന്ന് വ്യക്തമായത്. ഡോക്ടര്ക്ക് ഈ വൃദ്ധനില് മറ്റൊരു ശസ്ത്രക്രിയകൂടി നടത്തേണ്ടി വന്നു.
