വയറുവേദനയുമായാണ് സ്ത്രീ ആദ്യം എത്തിയത്. രണ്ട് മാസത്തിനിടെ പെട്ടെന്ന് ഭാരം കുറഞ്ഞതായും സ്ത്രീ പറഞ്ഞു.
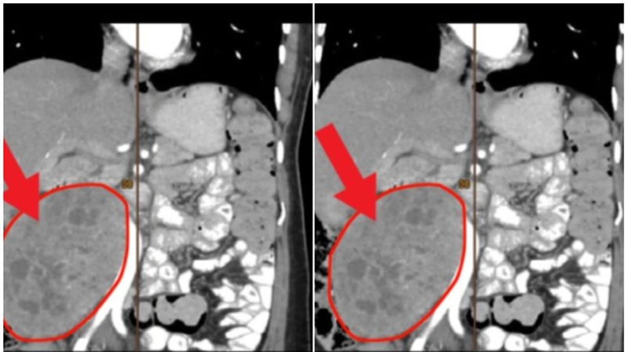
മനാമ: ബഹ്റൈനില് 55കാരിയുടെ വയറ്റില് നിന്ന് രണ്ട് കിലോ ഭാരമുള്ള മുഴ നീക്കം ചെയ്തു. കിങ് ഹമദ് യൂണിവേഴ്സിറ്റി ആശുപത്രിയില് വെച്ചാണ് സ്ത്രീയുടെ ശസ്ത്രക്രിയ നടത്തിയത്. കണ്സള്ട്ടന്റ് ജനറലും ബാരിയാട്രിക് സര്ജനുമായ ഡോ. അബ്ദല് മൊനെയിം അബു അല് സെല്ലിന്റെ നേതൃത്വത്തിലാണ് രണ്ട് മണിക്കൂര് നീണ്ട സങ്കീര്ണമായ ശസ്ത്രക്രിയ പൂര്ത്തിയാക്കിയത്.
വയറുവേദനയുമായാണ് സ്ത്രീ ആദ്യം എത്തിയത്. രണ്ട് മാസത്തിനിടെ പെട്ടെന്ന് ഭാരം കുറഞ്ഞതായും സ്ത്രീ പറഞ്ഞു. ക്ലിനിക്കല് പരിശോധനയിലും കളര് ടോമോഗ്രഫിയിലും സ്ത്രീയുടെ വയറ്റില് മുഴ ഉള്ളതായി കണ്ടെത്തി. കാലം കഴിയുന്തോറും മുഴ അപകടരമാകുന്നതാണെന്ന് ബയോപ്സി റിപ്പോര്ട്ടില് വ്യക്തമാകുകയും ചെയ്തു. തുടര്ന്നാണ് ശസ്ത്രക്രിയ നടത്തി ഇത് പുറത്തെടുത്തത്. കണ്സള്ട്ടന്റ് ജനറല് സര്ജന് ഡോ. ഇജാസ് വാനി, കണ്സള്ട്ടന്റ് വാസ്കുലാര് സര്ജന് ഡോ. റാനി അല് മൊയാറ്റസ് ബില്ലാ അല് അഘ എന്നിവരും ശസ്ത്രക്രിയ നടത്തിയ സംഘത്തിലുണ്ടായിരുന്നു. ശസ്ത്രക്രിയയ്ക്ക് ശേഷം സുഖം പ്രാപിച്ച 55കാരി നാലു ദിവസങ്ങള്ക്ക് ശേഷം ആശുപത്രി വിട്ടു.
Read More - നിയമലംഘകരായ പ്രവാസി തൊഴിലാളികളെ പിടികൂടാന് വ്യാപക പരിശോധന; 916 പേരെ നാടുകടത്തി
യാത്രയ്ക്കിടെ ജീവനക്കാരന് മരിച്ചു; ഗള്ഫ് എയര് വിമാനം ഇറാഖില് ഇറക്കി
മനാമ: യാത്രയ്ക്കിടെ ജീവനക്കാരന് മരിച്ചതിനെ തുടര്ന്ന് ഗള്ഫ് എയര് വിമാനം അടിയന്തരമായി ഇറാഖില് ഇറക്കി. ബഹ്റൈനില് നിന്ന് പാരിസിലേക്ക് പോവുകയായിരുന്ന ജിഎഫ് 19 വിമാനമാണ് ഇറാഖിലെ ഇര്ബില് വിമാനത്താവളത്തില് ഇറക്കിയത്. പെട്ടെന്നുണ്ടായ ഹൃദയാഘാതമാണ് ജീവനക്കാരന്റെ മരണത്തില് കലാശിച്ചത്.
Read More - പ്രവാസികള്ക്ക് സന്തോഷവാര്ത്ത; രണ്ട് പുതിയ സര്വീസുകളുമായി എയര് ഇന്ത്യ എക്സ്പ്രസ്
വിമാനം ബഹ്റൈന് അന്താരാഷ്ട്ര വിമാനത്താവളത്തില് നിന്ന് യാത്ര തിരിച്ച് ഒരു മണിക്കൂറും ഇരുപത് മിനിറ്റും കഴിഞ്ഞപ്പോളാണ് ജീവനക്കാരന് ഹൃദയാഘാതം ഉണ്ടായത്. ഈ സമയം വിമാനം 34,000 അടി ഉയരത്തിലായിരുന്നു. അടിയന്തര സാഹചര്യം പരിഗണിച്ച് ഏറ്റവും അടുത്തുള്ള വിമാനത്താവളത്തില് ലാന്റ് ചെയ്യാന് പൈലറ്റ് തീരുമാനിക്കുകയായിരുന്നു. തുടര്ന്നാണ് ഇറാഖിലെ ഇര്ബില് അന്താരാഷ്ട്ര വിമാനത്താവളത്തില് അടിയന്തര ലാന്റിങിന് അനുമതി തേടിയത്.
