വീഴ്ചയില് കാല്മുട്ടിന് എന്തെങ്കിലും സംഭവിച്ചോ എന്നറിയാനായി ഡോക്ടര്മാര് ഇടുപ്പിന് എക്സ്റേ എടുക്കാന് നിര്ദ്ദേശിച്ചു. ഈ എക്സ്റേയിലാണ് അത്യപൂര്വ്വ രോഗം കണ്ടെത്തിയത്. (പ്രതീകാത്മക ചിത്രം: ഗെറ്റി)
കാൽമുട്ട് ചികിത്സയ്ക്കെത്തിയ 63 -കാരന്റെ ഇടുപ്പിന്റെ എക്സ്-റേ പരിശോധിച്ച ഡോക്ടര്മാര് അക്ഷരാര്ത്ഥത്തില് ഞെട്ടി. അദ്ദേഹത്തിന് അപൂര്വ്വങ്ങളില് അപൂര്വ്വമായ ജനനേന്ദ്രിയ അസ്ഥിയായി രൂപം മാറുന്ന അസാധാരണമായ രോഗമായ 'പെനൈൽ ഓസിഫിക്കേഷൻ' (Penile Ossification) ആയിരുന്നു ഡോക്ടര്മാര് സ്ഥിരീകരിച്ചത്. 2019-ൽ നടപ്പാതയിൽ വീണ് കാൽമുട്ടിന് അസ്വസ്ഥത അനുഭവപ്പെട്ടതിനെ തുടർന്നാണ് പേര് വെളിപ്പെടുത്താത്ത 63 -കാരനായ രോഗി ന്യൂയോർക്ക് സിറ്റി ഹോസ്പിറ്റലിലെത്തിയത്. വീഴ്ചയില് ബോധക്ഷയമോ തലയ്ക്ക് പരിക്കുകളോ ഒന്നും സംഭവിച്ചിരുന്നില്ല. എങ്കിലും ഭാവിയില് കാല് മുട്ടുവേദനയ്ക്ക് കാരണമായേക്കാവുന്ന ഒടിവോ മറ്റ് പ്രശ്നങ്ങളോ ഒഴിവാക്കാനായി ഡോക്ടർമാർ ഇടുപ്പിന്റെ എക്സ് റേ എടുക്കാന് പറഞ്ഞപ്പോഴാണ് ഈ അസാധരണ രോഗം സ്ഥിരീകരിച്ചതെന്ന് ലാഡ്ബൈബിളില് റിപ്പോര്ട്ട് ചെയ്യുന്നു.
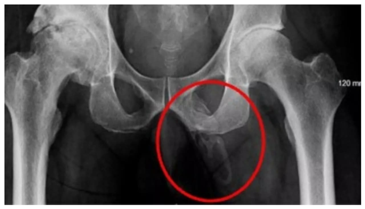
എക്സ്-റേ സ്കാനിൽ ജനനേന്ദ്രിയം മൃദുവായ ടിഷ്യൂകളിൽ ഗുരുതരമായ കാൽസിഫിക്കേഷൻ സംഭവിച്ചതായി ഡോക്ടര്മാര് കണ്ടെത്തി. "എക്സ്ട്രാസ്കെലെറ്റൽ ബോൺ" (Extraskeletal Bone) എന്നാണ് ഈ പ്രതിഭാസം വൈദ്യശാസ്ത്ര മേഖലയില് അറിയപ്പെടുന്നത്. കാൽസ്യം ലവണങ്ങൾ ജനനേന്ദ്രിയത്തിൽ ഒരു ഫലകത്തോട് സാമ്യമുള്ള രീതിയിൽ നിക്ഷേപിക്കപ്പെടുന്ന അസ്ഥയാണിത്. അത്തരം സന്ദർഭങ്ങൾ അത്യപൂര്വ്വമാണ്. യൂറോളജി കേസ് റിപ്പോർട്ട് പ്രകാരം ഇത്തരത്തിലുള്ള വെറും 40 ൽ താഴെ കേസുകൾ മാത്രമാണ് ഇതുവരെ ലോകത്ത് റിപ്പോര്ട്ട് ചെയ്യപ്പെട്ടിട്ടുള്ളത്.

(എക്സ്റേയില് ലഭിച്ച പെനൈൽ ഓസിഫിക്കേഷൻ റിസൾട്ട്)
പെനൈൽ ഓസിഫിക്കേഷൻ എന്നത് ജനനേന്ദ്രിയം പാത്തോഫിസിയോളജിക്ക് കാരണമായി മാറുന്ന ഒരു രോഗമാണ്. ഈ അവസ്ഥയില് അസ്ഥി പോലുള്ള ടിഷ്യു ജനനേന്ദ്രിയത്തില് രൂപപ്പെടുന്നു. ട്രോമ, പ്രമേഹം, അവസാനഘട്ട വൃക്കസംബന്ധമായ രോഗം തുടങ്ങിയ തുടങ്ങിയ മറ്റ് പല രോഗങ്ങളുമായി ഈ രോഗാവസ്ഥ ബന്ധപ്പെട്ടിരിക്കുന്നുവെന്ന് സയന്സ് റിപ്പോര്ട്ടുകള് പറയുന്നു. എന്നാല് രോഗ നിര്ണ്ണയത്തിന് ശേഷം ഇയാള് ഡോക്ടര്മാരുടെ നിര്ദ്ദേശത്തിന് വിരുദ്ധമായി ആശുപത്രിയില് നിന്നും നിര്ബന്ധ ഡിസ്ചാര്ജ്ജ് വാങ്ങിപ്പോയെന്നും റിപ്പോര്ട്ടുകള് പറയുന്നു. അതേസമയം ഈ രോഗത്തിന് കുത്തിവെയ്പ്പുകളും ശസ്ത്രക്രിയകളുമാണ് പരിഹാരമെന്ന് മെഡിക്കല് ജേണലുകള് റിപ്പോര്ട്ട് ചെയ്യുന്നു.
സീതാറാം യെച്ചൂരി: രാഷ്ട്രീയത്തിൽ ‘പെർഫക്ഷനിസ്റ്റു'കളെയല്ല വേണ്ടതെന്ന് തെളിയിച്ച കമ്യൂണിസ്റ്റ്
