സ്വയംഭോഗം ചെയ്യുന്നതിനിടയിൽ തെർമോമീറ്റർ ലിംഗത്തിൽ കയറിയതാകാമെന്ന് ഡോക്ടർമാർ പറഞ്ഞു. ഒമ്പത് മണിക്കൂർ കഠിനമായ വേദന അനുഭവിച്ച കുട്ടിയെ ആശുപത്രിയിൽ പ്രവേശിപ്പിക്കുകയായിരുന്നു.
നീണ്ട ശസ്ത്രക്രിയയിലൂടെ 12 വയസ്സുകാരന്റെ മൂത്രാശയത്തിൽ നിന്ന് ഡോക്ടർമാർ തെർമോമീറ്റർ നീക്കം ചെയ്തു. സ്വയംഭോഗം ചെയ്യുന്നതിനിടയിൽ തെർമോമീറ്റർ ലിംഗത്തിൽ കയറിയതാകാമെന്ന് ഡോക്ടർമാർ പറഞ്ഞു. ഒമ്പത് മണിക്കൂർ കഠിനമായ വേദന അനുഭവിച്ച കുട്ടിയെ ആശുപത്രിയിൽ പ്രവേശിപ്പിക്കുകയായിരുന്നു.
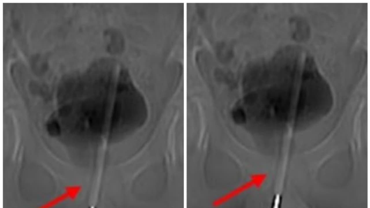
എക്സ്-റേയിൽ തെർമോമീറ്റർ മൂത്രനാളിയിൽ കയറിയതായും അത് കുട്ടിയുടെ മൂത്രസഞ്ചിയിൽ പ്രവേശിച്ചതായും കണ്ടെത്തി. താക്കോൽ-ദ്വാര ശസ്ത്രക്രിയയിലൂടെ കുട്ടിയുടെ മൂത്രസഞ്ചിയിൽ നിന്ന് തെർമോമീറ്റർ പുറത്തെടുക്കുകയായിരുന്നുവെന്ന് ശസ്ത്രക്രിയയ്ക്ക് നേതൃത്വം നൽകിയ ഡോക്ടർമാർ പറഞ്ഞു.
സെൻട്രൽ ചൈനയിലെ ചെങ്ഡു നഗരത്തിൽ നിന്നുള്ള കുട്ടിയെ ലോങ്ക്വാനിയിലെ ദി ഫസ്റ്റ് പീപ്പിൾസ് ഹോസ്പിറ്റലിലാണ് പ്രവേശിപ്പിച്ചത്. ലൈംഗിക സുഖത്തിനായാണ് തെർമോമീറ്റർ കയറ്റിയതെന്ന് കുട്ടി പറഞ്ഞതായി ഡോ. ചാങ്സിംഗ് കെ പറഞ്ഞു.
'സൗണ്ടിംഗ്' എന്നാണ് ഇതിനെ പറയുന്നത്. വസ്തു കുടുങ്ങിപ്പോകുകയോ, ആന്തരിക കോശങ്ങൾക്ക് കേടുപാടുകൾ വരുത്തുകയോ മുറിവേൽപ്പിക്കുകയോ ചെയ്യുക എന്നിങ്ങനെ ഒന്നിലധികം അപകടസാധ്യതകളെയാണ് സൗണ്ടിംഗ് എന്ന് പറയുന്നത്. ഗ്ലാസിൽ നിന്നോ ലോഹത്തിൽ നിന്നോ പ്രത്യേകം രൂപകൽപ്പന ചെയ്ത ഉപകരണങ്ങൾ ഇതിൽ ഉൾപ്പെടുന്നു.
പുരുഷൻമാർ തങ്ങളുടെ ലൈംഗിക സുഖം മെച്ചപ്പെടുത്താൻ ശ്രമിക്കുന്നതിനാൽ മൂത്രനാളി പ്രശ്നങ്ങളുള്ള പുരുഷന്മാരുടെ എണ്ണത്തിൽ വർദ്ധനവ് ഉണ്ടായിട്ടുണ്ടെന്ന് ലണ്ടൻ ഇന്റർനാഷണൽ ആൻഡ്രോളജി ക്ലിനിക്കിലെ ഡോക്ടർമാർ പറയുന്നു. ഇത് മൂത്രാശയ നിയന്ത്രണത്തിന്റെ അഭാവത്തിനും അണുബാധയ്ക്കും കാരണമാകും. ലിംഗത്തിനും മൂത്രനാളിക്കും സെൻസിറ്റീവ് ടിഷ്യു പുനർനിർമ്മിക്കുന്നതിന് ശസ്ത്രക്രിയയോ ഇംപ്ലാന്റുകളോ ആവശ്യമായി വന്നേക്കാം.
മൂത്രം സംഭരിക്കുന്ന മൂത്രാശയത്തിലേക്ക് അവർ ടിഷ്യൂവിൽ ഒരു ചെറിയ ശസ്ത്രക്രിയാ ദ്വാരം ഉണ്ടാക്കി തുടർന്ന് തെർമോമീറ്ററിനെ ശരിയായ കോണിലേക്കും സ്ഥാനത്തേക്കും കൈകാര്യം ചെയ്യാൻ ചെറിയ ഉപകരണങ്ങൾ തിരുകുകയും കീ-ഹോളിലൂടെ പുറത്തെടുക്കുകയും ചെയ്തു.
'ലൈംഗിക വിദ്യാഭ്യാസത്തിന്റെ അഭാവത്തിന്റെയും ജിജ്ഞാസയുടെയും ഫലമായി കുട്ടി സ്വയംഭോഗത്തിനായി തെർമോമീറ്റർ ലിംഗത്തിൽ കയറ്റിയത്...'- ഡോ.ചാങ്സിംഗ് കെ പറഞ്ഞു. യുകെയിൽ കഴിഞ്ഞ കുറച്ച് വർഷങ്ങളായി ഈ പ്രശ്നം നേരിടുന്ന പുരുഷന്മാരുടെ എണ്ണത്തിൽ വർധനവുണ്ടായതായി വിദഗ്ധർ റിപ്പോർട്ട് ചെയ്തിട്ടുണ്ട്.
യുഎസ്ബി കേബിളുകൾ, വയറുകൾ എന്നിവ ചിലർ ലെെംഗിക സുഖത്തിനായി പലരും ഉപയോഗിച്ച് വരുന്നതായി റിപ്പോർട്ടുകളുണ്ട്. ലിംഗത്തിൽ ഒരു വസ്തു കുടുങ്ങിയ രോഗികൾ നാണക്കേട് കാരണം ഡോക്ടറെ കാണിക്കാനോ വൈദ്യസഹായം തേടാനോ മടി കാണിക്കുന്നു. ഇത് കൂടുതൽ ഗുരുതരമായ ആരോഗ്യപ്രശ്നങ്ങളിലേക്ക് നയിച്ചേക്കാം.
തിളക്കമുള്ള ചർമ്മത്തിനായി ഭക്ഷണത്തിൽ ശ്രദ്ധിക്കേണ്ടത് എന്തൊക്കെ?
