വിപിഎസ് ലേക്ഷോറിലെ യൂറോളജി വിഭാഗമാണ് അത്യപൂർവ്വമായ ശസ്ത്രക്രിയ വിജയകരമായി പൂർത്തികരിച്ചത്. ലോകത്ത് തന്നെ ആദ്യമായാണ് ഇത്തരത്തിൽ ജന്മനാ ഉണ്ടായ ഡയഫ്രമാറ്റിക് ഹെർണിയയും ഹൈഡ്രോ നെഫ്രോസിസും ലാപ്രോസ്കോപിക് ശസ്ത്രക്രിയയിലൂടെ പരിഹരിക്കപ്പടുന്നത്.
കൊച്ചി: കുട്ടികളിൽ ജന്മനാ ബാധിക്കുന്ന ഡയഫ്രമാറ്റിക് ഹെർണിയ എന്ന ഗുരുതര രോഗത്തോടൊപ്പം കിഡ്നിയുടെ പ്രവർത്തനത്തെ തടസപ്പെടുത്തുന്ന ഹൈഡ്രോ നെഫ്രോസിസ് എന്ന അവസ്ഥയും സ്ഥിരീകരിച്ച അഞ്ച് വയസുകാരൻ ലാപ്രോസ്കോപിക് (കീ ഹോൾ) സർജറിയിലൂടെ സാധാരണ ജീവിതത്തിലേക്ക്.
വിപിഎസ് ലേക്ഷോറിലെ യൂറോളജി വിഭാഗമാണ് അത്യപൂർവ്വമായ ശസ്ത്രക്രിയ വിജയകരമായി പൂർത്തികരിച്ചത്. ലോകത്ത് തന്നെ ആദ്യമായാണ് ഇത്തരത്തിൽ ജന്മനാ ഉണ്ടായ ഡയഫ്രമാറ്റിക് ഹെർണിയയും ഹൈഡ്രോ നെഫ്രോസിസും ലാപ്രോസ്കോപിക് ശസ്ത്രക്രിയയിലൂടെ പരിഹരിക്കപ്പടുന്നത്.
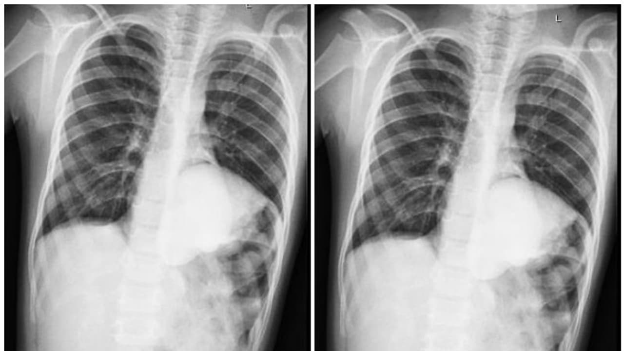
ജനിച്ച് ആറ് മാസം മുതൽ കുട്ടിക്ക് ഇടയ്ക്കിടെ ചുമയും പനിയും ഛർദ്ദിലും മറ്റ് അസ്വാസ്ഥ്യങ്ങളും അനുഭവപ്പെട്ടിരുന്നു. ഇതേതുടർന്ന് നടത്തിയ വിശദമായ പരിശോധനയിലാണ് ഇടത് വശത്തെ ഡയഫ്രമിൽ 6 സെന്റി മീറ്റർ വലുപ്പമുള്ള ഹെർണിയ കണ്ടെത്തുന്നത്. അതുവഴി ആന്തരിക അവയവങ്ങളായ കുടലും ഇടത് കിഡ്നിയും മുകളിലേക്ക് കയറി വരുകയും കിഡ്നിയിൽ ജന്മനാ ഉണ്ടായ തടസംമൂലം ഹൈഡ്രോ നെഫ്രോസിസ് ഉണ്ടാവുകയും ആയിരുന്നു.
(വൃക്കയെ മൂത്രാശയവുമായി ബന്ധിപ്പിക്കുന്ന ട്യൂബിലെ തടസ്സം മൂലമാണ് ഹൈഡ്രോനെഫ്രോസിസ് ഉണ്ടാകുന്നത്. ) അടുത്തകാലത്ത് വയറിന്റെ ഇടത് ഭാഗത്ത് കഠിനമായ വേദനയും ഇടയ്ക്കിടെ ഛർദ്ദിലും അനുഭവപ്പെട്ടിരുന്നു. കണക്കുകൾ അനുസരിച്ച് പതിനാറായിരത്തിൽ ഒരാൾക്ക് മാത്രമാണ് ജന്മനാ ഡയഫ്രമാറ്റിക് ഹെർണിയ ഉണ്ടാകുന്നത്. അതിൽ തന്നെ നെഞ്ചിനുള്ളിൽ വൃക്ക സ്ഥിതി ചെയ്യുന്ന കേസുകൾ 140 എണ്ണം മാത്രമേ റിപ്പോർട്ട് ചെയ്യപ്പെട്ടിട്ടുള്ളു.
ഡയഫ്രമാറ്റിക് ഹെർണിയയും തൊറാസിക് കിഡ്നി ഹൈഡ്രോ നെഫ്രോസിസും ഓപ്പൺ സർജറിയിലൂടെ പരിഹരിക്കപ്പെട്ട ഒരു കേസ് മുൻപ് റിപ്പോർട്ട് ചെയ്തിട്ടുണ്ട്. ഇത്തരമൊരു കേസിൽ ലാപ്രോസ്കോപിക് സർജറിയിലൂടെ മെഷ് വെച്ച് ഹെർണിയ റിപ്പയർ ചെയ്യുന്നതോടൊപ്പം പൈലോപ്ലാസ്റ്റിയിലൂടെ കിഡ്നി റിപ്പയർ ചെയ്യുന്നതും ഇതാദ്യമായാണ്.
2021 നവംബർ 10നാണ് കുട്ടിയിൽ ശസ്ത്രക്രിയ നടക്കുന്നത്. ഓപ്പറേഷന് ശേഷം ജനുവരിയിൽ സ്റ്റെന്റ് മാറ്റുകയും പിന്നീട് നടത്തിയ പരിശോധനയിൽ രണ്ട് വൈകല്യങ്ങളും കീഹോൾ ശസ്ത്രക്രിയിലൂടെ പരിഹരിക്കാൻ സാധിച്ചുവെന്നും കുട്ടി സാധാരണ ജീവിതത്തിലേക്ക് മടങ്ങിയെത്തിയെന്നും യൂറോളജി ആൻഡ് റീനൽ ട്രാൻസ്പ്ലാന്റ് വിഭാഗം തലവൻ ഡോ. ജോർജ് പി എബ്രഹാം പറഞ്ഞു. മൂന്ന് മണിക്കൂർ നീണ്ടുനിന്ന ശസ്ത്രക്രിയയിൽ ഡോ. ജോർജ് പി എബ്രഹാമിന് പുറമെ സീനിയർ കൺസൾട്ടന്റ് ഡോ. ഡാട്സൺ ജോർജ് പി, ഡോ. വിനീത്, ഡോ. സാം എന്നിവരും ഭാഗമായിരുന്നു.
പുതിയ വൈറസ് വകഭേദം ഒമിക്രോണ് ബിഎ.2വില് ലക്ഷണങ്ങളില് വ്യത്യാസമോ?
