കോഴിക്കോട് മെഡിക്കൽ കോളേജിൽ അന്നനാള രോഗത്തിന് നൂതന ചികിത്സ വിജയകരം.
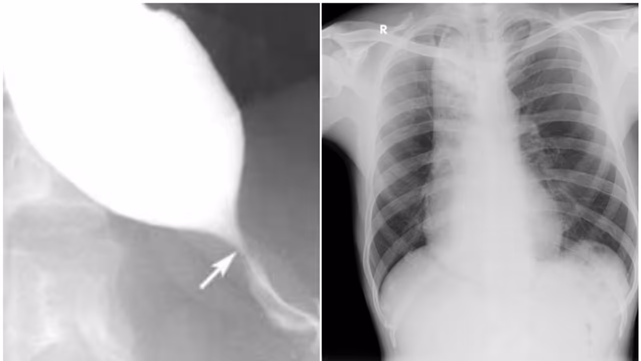
കോഴിക്കോട്: കോഴിക്കോട് സര്ക്കാര് മെഡിക്കല് കോളേജില് അതിനൂതന ചികിത്സ വിജയം. അന്നനാളത്തിന്റെ ചലന ശേഷിക്കുറവ് മൂലം രോഗിയ്ക്ക് ഭക്ഷണം കഴിക്കാന് കഴിയാത്ത അവസ്ഥ ഉണ്ടാക്കുന്ന അക്കാലാസിയ കാര്ഡിയ എന്ന രോഗത്തിനാണ് വിദഗ്ധ ചികിത്സ നല്കി ജീവിതത്തിലേക്ക് തിരികെയെത്തിച്ചത്. ഗ്യാസ്ട്രോ എന്ററോളജി വിഭാഗത്തിന് കീഴിലാണ് എന്ഡോസ്കോപ്പി വഴി നടത്തുന്ന അതിനൂതന ചികിത്സയായ പിഒഇഎം (POEM: Per Oral Endoscopic Myotomy) നല്കിയത്. ചികിത്സയ്ക്ക് ശേഷം രോഗി സുഖം പ്രാപിച്ചു വരുന്നു. നൂതന ചികിത്സ നല്കിയ മെഡിക്കല് കോളേജിലെ മുഴുവന് ടീം അംഗങ്ങളേയും ആരോഗ്യ വകുപ്പ് മന്ത്രി വീണാ ജോര്ജ് അഭിനന്ദിച്ചു.
കാസര്ഗോഡ് സ്വദേശിയായ 43 കാരനാണ് ചികിത്സ നല്കിയത്. വര്ഷങ്ങളായി ഭക്ഷണം ഇറക്കുന്നതിന് തടസം നേരിടുകയും കഴിക്കുന്ന ഭക്ഷണം വായില് തിരികെ തികട്ടി വരികയും ചെയ്തിരുന്നു. മറ്റ് പല ആശുപത്രികളിലും ചികിത്സ തേടിയെങ്കിലും ഫലമുണ്ടായില്ല. തുടര്ന്നാണ് കോഴിക്കോട് മെഡിക്കല് കോളേജ് ആശുപത്രിയിലെത്തിയത്. ഗ്യാസ്ട്രോ എന്ററോളജി വിഭാഗത്തിലെ വിദഗ്ധ പരിശോധനയിലാണ് രോഗത്തിന്റെ സങ്കീര്ണാവസ്ഥ അറിഞ്ഞത്.
തുടര്ന്നാണ് എന്ഡോസ്കോപ്പി വഴി നടത്തുന്ന അതിനൂതന ചികിത്സയായ പിഒഇഎം നല്കിയത്. സ്വകാര്യ ആശുപത്രികളില് ഒന്നര ലക്ഷം രൂപയോളം ചെലവുള്ള ചികിത്സയാണ് സര്ക്കാര് പദ്ധതിയിലൂടെ സൗജന്യമായി നല്കിയത്. കേരളത്തിലെ ഗവണ്മെന്റ് ആശുപത്രികളിലും മെഡിക്കല് കോളേജുകളിലും ആദ്യമായാണ് ഈ രീതിയിലുള്ള ചികിത്സ നടക്കുന്നത്. പ്രിന്സിപ്പല് ഡോ. സജീത് കുമാര് കെജി, സൂപ്രണ്ട് ഡോ. ശ്രീജയന് എം പി എന്നിവരുടെ ഏകോപനത്തില് ഗ്യാസ്ട്രോ എന്ററോളജി വിഭാഗം മേധാവി ഡോ. കെ സുനില് കുമാറിന്റെ നേതൃത്വത്തിലാണ് ചികിത്സ നല്കിയത്.
