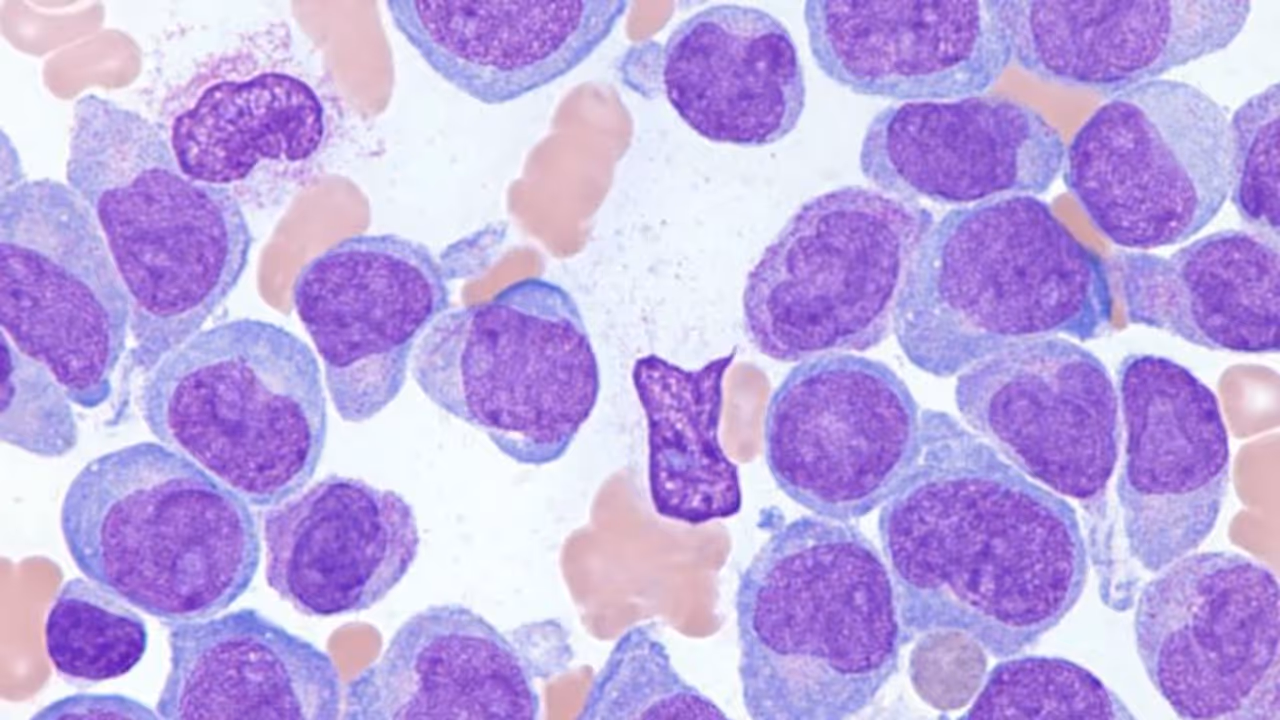
രക്തത്തിലും അസ്ഥിമജ്ജയിലും ഉണ്ടാകുന്ന ഒരു അപൂർവ ക്യാൻസറാണ് അക്യൂട്ട് മൈലോയ്ഡ് ലുക്കീമിയ. ജീനുകളിലെ മ്യൂട്ടേഷനുകൾ, ക്രോമസോം മാറ്റങ്ങൾ, മറ്റ് ഘടകങ്ങൾ എന്നിവയിൽ നിന്നാണ് ലുക്കീമിയ ഉണ്ടാകുന്നത്. 60 വയസ്സിനു മുകളിലുള്ളവരിലാണ് ഇത് കൂടുതലായി കാണപ്പെടുന്നത്.
യുഎസ് മുൻ പ്രസിഡന്റ് ജോൺ എഫ് കെന്നഡിയുടെ ചെറുമകൾ ടാറ്റിയാന ഷ്ലോസ്ബർഗ് അക്യൂട്ട് മൈലോയ്ഡ് ലുക്കീമിയ ബാധിച്ച് മരിച്ചു. 35 വയസായിരുന്നു. ടാറ്റിയാന അമേരിക്കൻ പരിസ്ഥിതി പത്രപ്രവർത്തകയും എഴുത്തുകാരിയുമായിരുന്നു.
ന്യൂയോർക്ക് ടൈംസിൽ ശാസ്ത്ര-കാലാവസ്ഥാ റിപ്പോർട്ടറായി ജോലി ചെയ്യുകയും ദി അറ്റ്ലാന്റിക് , ദി വാഷിംഗ്ടൺ പോസ്റ്റ് , വാനിറ്റി ഫെയർ , ബ്ലൂംബെർഗ് ന്യൂസ് എന്നിവയുൾപ്പെടെ നിരവധി പ്രസിദ്ധീകരണങ്ങളിൽ എഴുതുകയും ചെയ്തു.
എന്താണ് അക്യൂട്ട് മൈലോയ്ഡ് ലുക്കീമിയ?
രക്തത്തിലും അസ്ഥിമജ്ജയിലും ഉണ്ടാകുന്ന ഒരു അപൂർവ ക്യാൻസറാണ് അക്യൂട്ട് മൈലോയ്ഡ് ലുക്കീമിയ. ജീനുകളിലെ മ്യൂട്ടേഷനുകൾ, ക്രോമസോം മാറ്റങ്ങൾ, മറ്റ് ഘടകങ്ങൾ എന്നിവയിൽ നിന്നാണ് ലുക്കീമിയ ഉണ്ടാകുന്നത്. 60 വയസ്സിനു മുകളിലുള്ളവരിലാണ് ഇത് കൂടുതലായി കാണപ്പെടുന്നത്. ഇത് ചെറുപ്പക്കാരെയും കുട്ടികളെയും കൂടുതലായി ബാധിക്കുന്നതായി ആരോഗ്യ വിദഗ്ധർ പറയുന്നു.
മൈലോയ്ഡ് കോശങ്ങൾ ചുവന്ന രക്താണുക്കൾ, വെളുത്ത രക്താണുക്കൾ, പ്ലേറ്റ്ലെറ്റുകൾ എന്നിവ ഉത്പാദിപ്പിക്കുന്നു. യുഎസിൽ ഏകദേശം 22,010 പേർക്ക് എഎംഎൽ ഉണ്ടെന്ന് കണ്ടെത്തിയിട്ടുണ്ട്. 2025 ലെ കണക്കുകൾ പ്രകാരം രോഗനിർണയത്തിന്റെ ശരാശരി പ്രായം 69 ആണെന്ന് ദി ടൈംസ് ഓഫ് ഇന്ത്യ റിപ്പോർട്ട് ചെയ്യുന്നു.
അക്യൂട്ട് മൈലോയ്ഡ് ലുക്കീമിയയ്ക്ക് നിരവധി ഉപവിഭാഗങ്ങളുണ്ട്. അവയെല്ലാം രക്തകോശങ്ങളുടെ അളവിനെ ബാധിക്കുന്നു. എന്നിരുന്നാലും, അവ ലക്ഷണങ്ങളിൽ വ്യത്യാസപ്പെട്ടിരിക്കുന്നു. എഎംഎൽ ഉപവിഭാഗങ്ങളിൽ മൈലോയ്ഡ് ലുക്കീമിയ, അക്യൂട്ട് മോണോസൈറ്റിക് ലുക്കീമിയ (AML-M5), അക്യൂട്ട് മെഗാകാരിയോസൈറ്റിക് ലുക്കീമിയ (AMLK), അക്യൂട്ട് പ്രോമിലോസൈറ്റിക് ലുക്കീമിയ (APL) എന്നിവ ഉൾപ്പെടുന്നു.
അക്യൂട്ട് മൈലോയ്ഡ് ലുക്കീമിയ ; ലക്ഷണങ്ങൾ എന്തൊക്കെ?
ഈ രോഗമുള്ളവർക്ക് ജലദോഷം അല്ലെങ്കിൽ പനി പോലുള്ള സാധാരണ ലക്ഷണങ്ങൾ അനുഭവപ്പെടാം. തലകറക്കം, അസ്ഥികളിലും പുറം, വയറ്റിലും സ്ഥിരമായ വേദന, ഇടയ്ക്കിടെ മൂക്കിൽ നിന്ന് രക്തസ്രാവം വരിക, മോണയിൽ നിന്ന് രക്തസ്രാവം, വളരെ ക്ഷീണവും ജലദോഷവും അനുഭവപ്പെടൽ, പനി, രാത്രിയിൽ വിയർക്കൽ, നിരന്തരമായ അണുബാധകൾ, തലവേദന, വിശപ്പില്ലായ്മ, ശ്വാസതടസ്സം, ശരീരഭാരം കുറയ്ക്കൽ, വിളറിയ ചർമ്മം, ബലഹീനത എന്നിവയാണ് മറ്റ് ലക്ഷണങ്ങൾ.


